このたび当院は、令和8年1月17日をもちまして移転し、医院名を『博多キュア矯正歯科』へ変更いたしました。
また、2月24日(火)より新クリニックにて診療を再開しております。
新しい環境のもと、これまで以上に質の高い矯正治療をご提供できるよう、スタッフ一同より一層努めてまいりますので、何卒よろしくお願いいたします。
なお、移転に伴う診療時間・診療日の変更はございません。
【新住所】
〒812-0013 福岡県福岡市博多区博多駅東2丁目6-11
MODERN BUREAU博多駅東 8階
博多キュア矯正歯科は、優しい雰囲気の歯科矯正専門クリニックです。症例実績も豊富ではじめて矯正を検討される方も多くいらっしゃいます。博多駅マルイ直結の好アクセスと平日夜間診療対応で、福岡市外や県外からの学生やビジネスマンからも選ばれています。またグループ内無料転院制度と見えない裏側矯正に特化していることから、働きながらの矯正治療も効率的に通院いただけるので安心して治療できるのも当院の特徴です。



merits

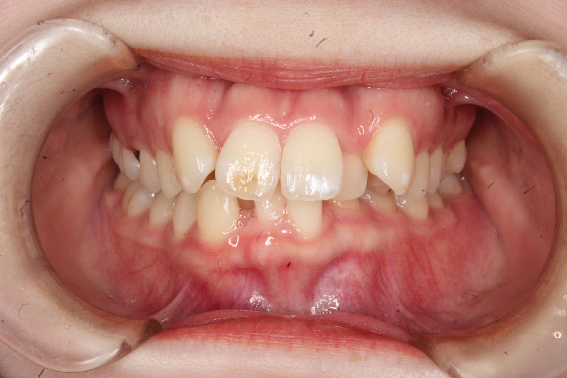
歯が前後にデコボコ
している状態

正常な咬み合わせで
はない状態

上の前歯が下の前歯
よりも出ている状態

下の前歯が上の前歯
よりも出ている状態






当院をご利用の患者様へ
ご安心ください。当院は安定した経営基盤のもと、長期的な医療提供をお約束します。
昨今、一部の脱毛サロン等において突然の営業終了や倒産により、契約中の患者さまにご不安・ご負担が生じているという報道が増えておりますが
当院においては、医療機関としての法的・制度的な整備を行い、長期的かつ安定した診療体制のもとで歯科矯正治療を提供しております
患者様が安心して相談できる環境を整え、強引な勧誘をせず、誠実で透明性のある信頼に基づいたカウンセリングを行います。
資料やビジュアルを活用し、どなたでも理解できる言葉で 、治療内容やゴールをイメージできる説明を丁寧に行います。
主訴(お悩み・ご意向)やライフスタイルを大切にし、患者様の声に耳を傾け、希望に沿った治療プランを共に考え寄り添います。
誠実さと思いやりを大切にし、安心と満足を提供することで、笑顔と自信に溢れる人生に導きます。
精密な技術と臨床経験をもとに、痛みと不安を和らげながら快適で質の高い治療を実現します。
医学的根拠に基づき、美しい歯並びと噛み合わせや機能性の両立を重視し、丁寧な説明と信頼関係の中で治療を共に進めます。
笑顔と温かいおもてなしの心で患者様を迎え、「来てよかった」と思っていただける空間をつくります。
スタッフ一人ひとりがプロとしての清潔感ある身だしなみと礼儀正しい行動で、安心感を提供します。
患者様に寄り添い、どんな疑問にも丁寧に応え、信頼関係を大切に育みホスピタリティを体現します。
| 住所 | 〒812-0013 福岡県福岡市博多区博多駅東2丁目6-11 MODERN BUREAU博多駅東 8階 |
| 休診日 | 木曜/日曜/祝日 |
| 診察時間 | 平日…12:30-16:00/17:00-20:30 土曜…10:00-13:00/14:00-18:00 |
※土曜日が祝日の場合、翌診療日を休診とする