menu
close

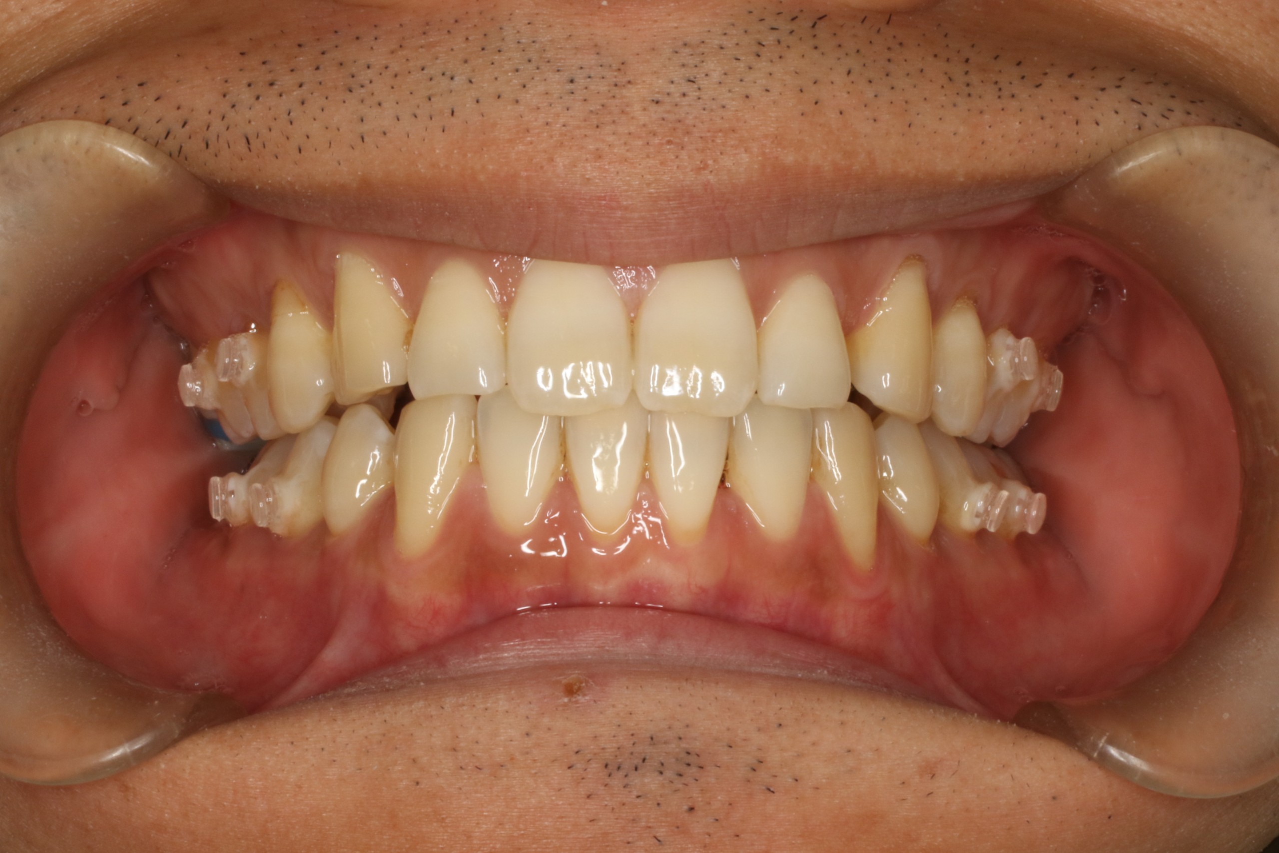
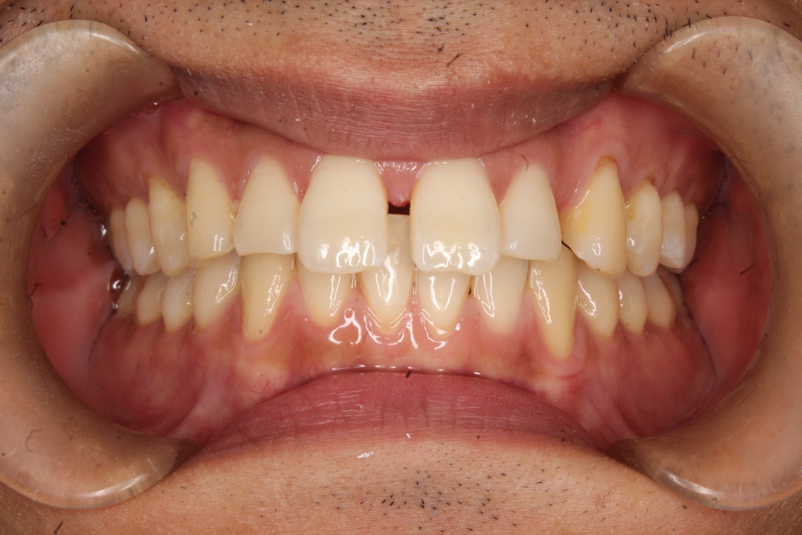
すきっ歯(空隙歯列)を治したい

すきっ歯を治したい

年齢層 30代
性別 男性
主訴 【主訴】すきっ歯を治したい【診断・症状】過蓋咬合、正中離開
治療費用 検査・診断:38,500-/裏側矯正治療費:1,298,000-(※すべて税込)
治療期間 約1年9か月(18回)
抜歯 無(非抜歯)
矯正の装置 裏側矯正(舌側矯正)
副作用、リスク 歯肉退縮・歯根吸収・疼痛・咬合の違和感・装置の違和感
case25-すきっ歯を治したい-before

Before

case25-すきっ歯を治したい-after

After

詳しく見る

すきっ歯を治したい

年齢層 20代
性別 女性
主訴 【主訴】すきっ歯を治したい 【診断・症状】空隙歯列、1,1正中離開
治療費用 検査・診断:38,500-/裏側矯正治療:1,397,000-(※全て税込)
治療期間 約1年8か月(22回)
抜歯 無(非抜歯)
矯正の装置 裏側矯正(舌側矯正)
副作用、リスク 歯肉退縮,歯根吸収,疼痛,咬合の違和感,装置の違和感,虫歯,歯肉炎
case6_すきっ歯_before

Before

case6_すきっ歯_after

After

詳しく見る

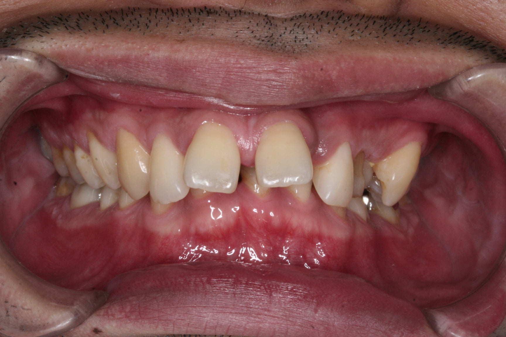
ディープバイトとすきっ歯を治したい

年齢層 30代
性別 男性
主訴 【主訴】ディープバイト,すきっ歯 【診断・症状】左上C残存、下顎右下1番欠損、上顎前突、空隙歯列、過蓋咬合
治療費用 検査・診断:38,500-/裏側矯正治療:1,397,000-(※全て税込)
治療期間 約3年半(45回)
抜歯 有(左上c、上の4,4)
矯正の装置 裏側矯正(舌側矯正)
副作用、リスク 歯肉退縮,歯根吸収,疼痛,咬合の違和感,装置の違和感,虫歯,歯肉炎
case1_DeepBite_before

Before

case1_DeepBite_after

After

詳しく見る