menu
close

当院の症例

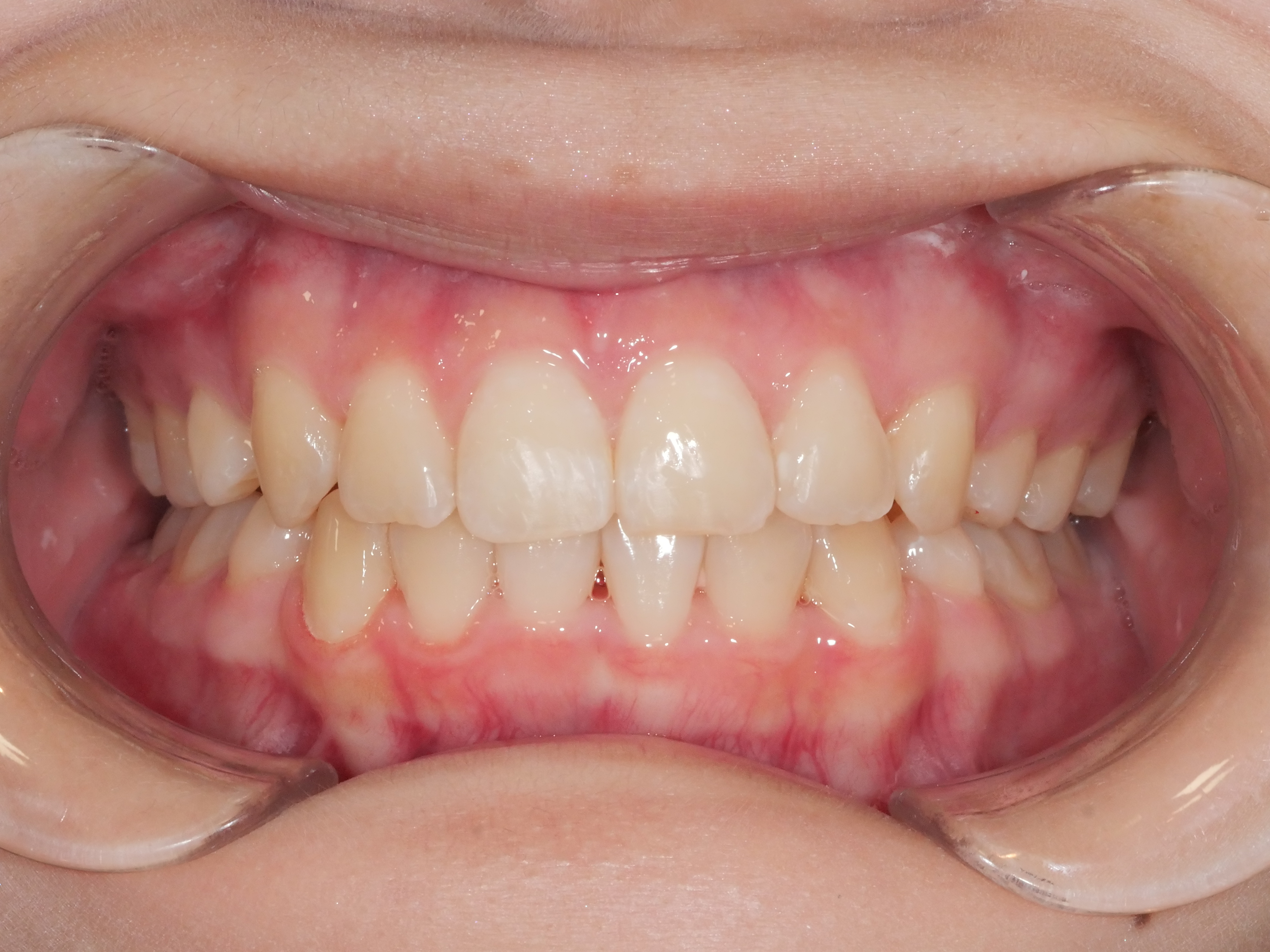
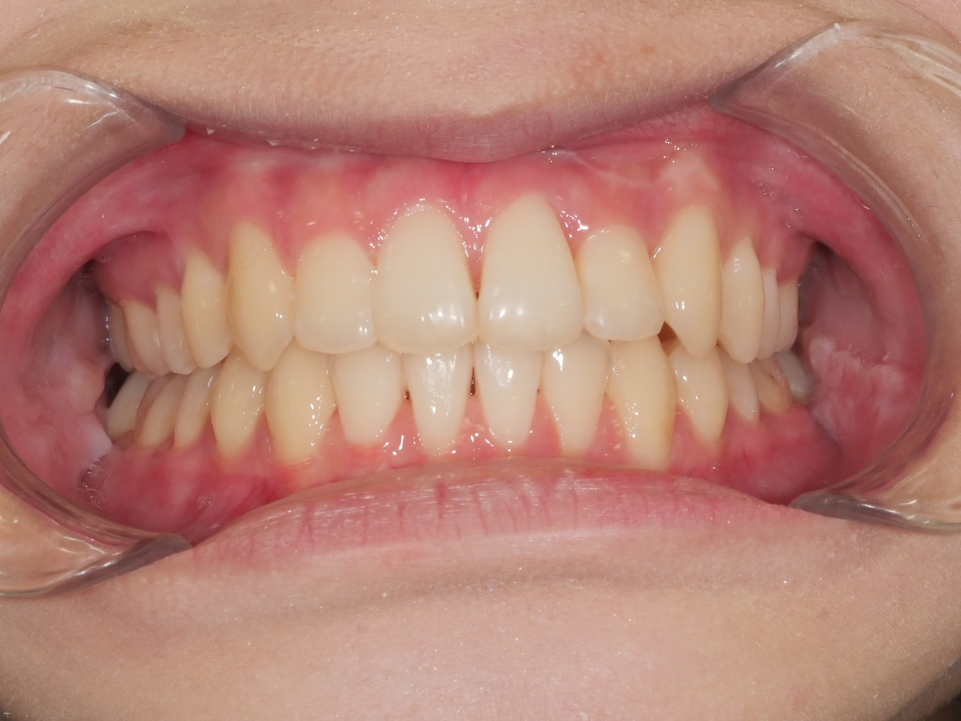
交叉咬合・前歯の凸凹を治したい

症例

Before

症例

After

年齢層 20代
性別 女性
主訴 【主訴】凸凹を治したい 【診断・症状】叢生・上顎右側5番7番、下顎左右2番欠損
治療費用 検査・診断:38,500-/表側矯正治療:1,155,000-(※全て税込)
治療期間 約1年7か月 19回
抜歯 抜歯:有(左上7)
矯正の装置 表側矯正
副作用、リスク 歯肉退縮・歯根吸収・疼痛・咬合の違和感・装置の違和感
詳しく見る

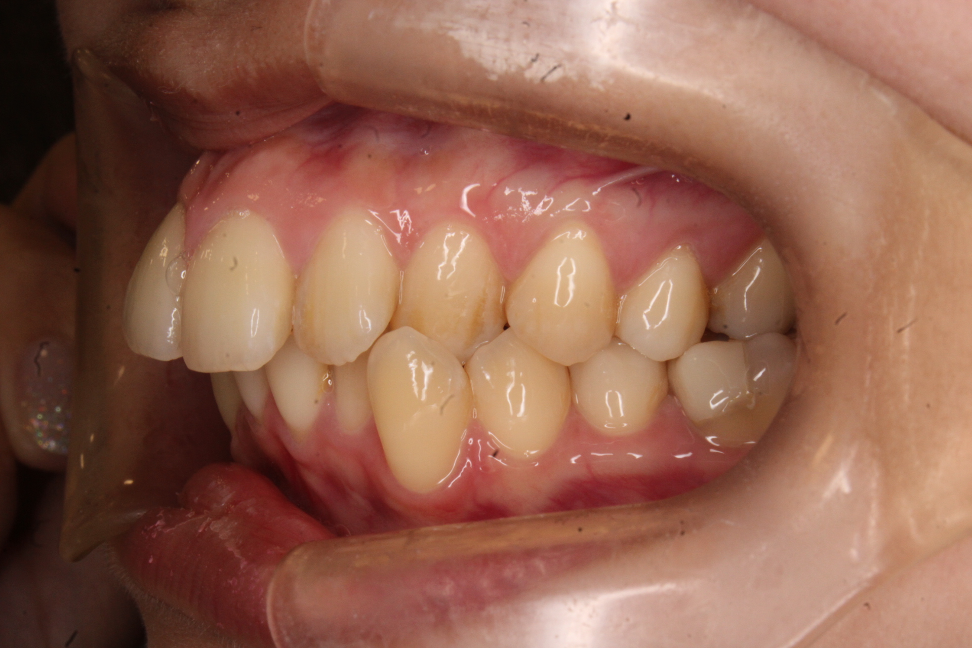
1本だけ歯が隠れているのを改善したい

初診時

Before

終了時

After

年齢層 20代
性別 女性
主訴 【主訴】凸凹を治したい 【診断・症状】叢生・交叉咬合
治療費用 検査・診断:38,500-/裏側矯正治療:1,265,000-(※全て税込)
治療期間 約8ヵ月
抜歯 無(非抜歯)
矯正の装置 ハーフリンガル矯正
副作用、リスク 歯肉退縮・歯根吸収・疼痛・咬合の違和感・装置の違和感・正中のズレ
詳しく見る

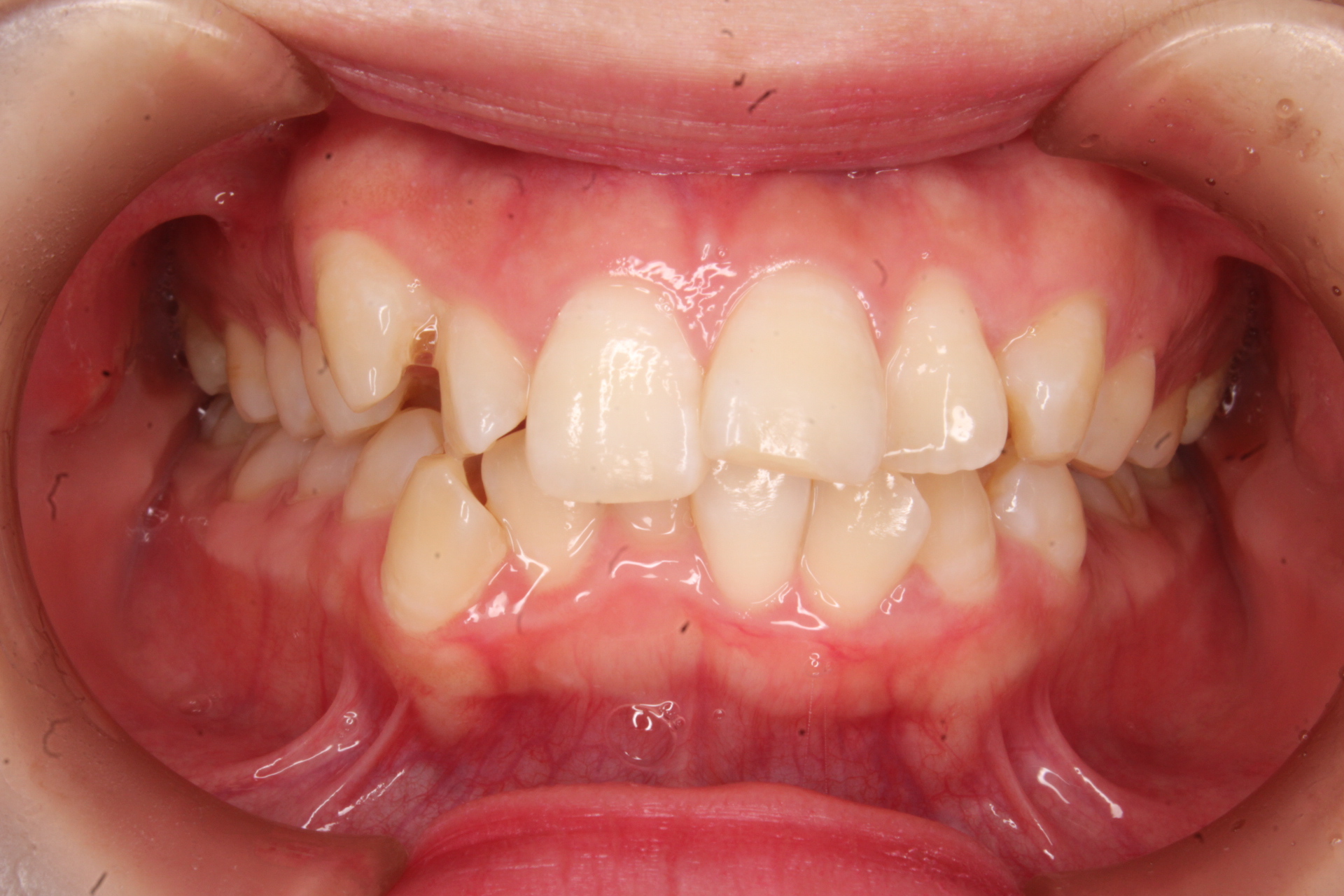
歯並びの凸凹を治したい

症例 before

Before

症例 After

After

年齢層 10代(初診時)
性別 女性
主訴 【主訴】凸凹を治したい【診断・症状】叢生
治療費用 ¥132,0000
治療期間 約2年1か月(25回)
抜歯 有(上下4,4)
矯正の装置 裏側矯正(舌側矯正)
副作用、リスク 歯肉退縮・歯根吸収・疼痛・咬合の違和感・装置の違和感・正中のズレ
詳しく見る

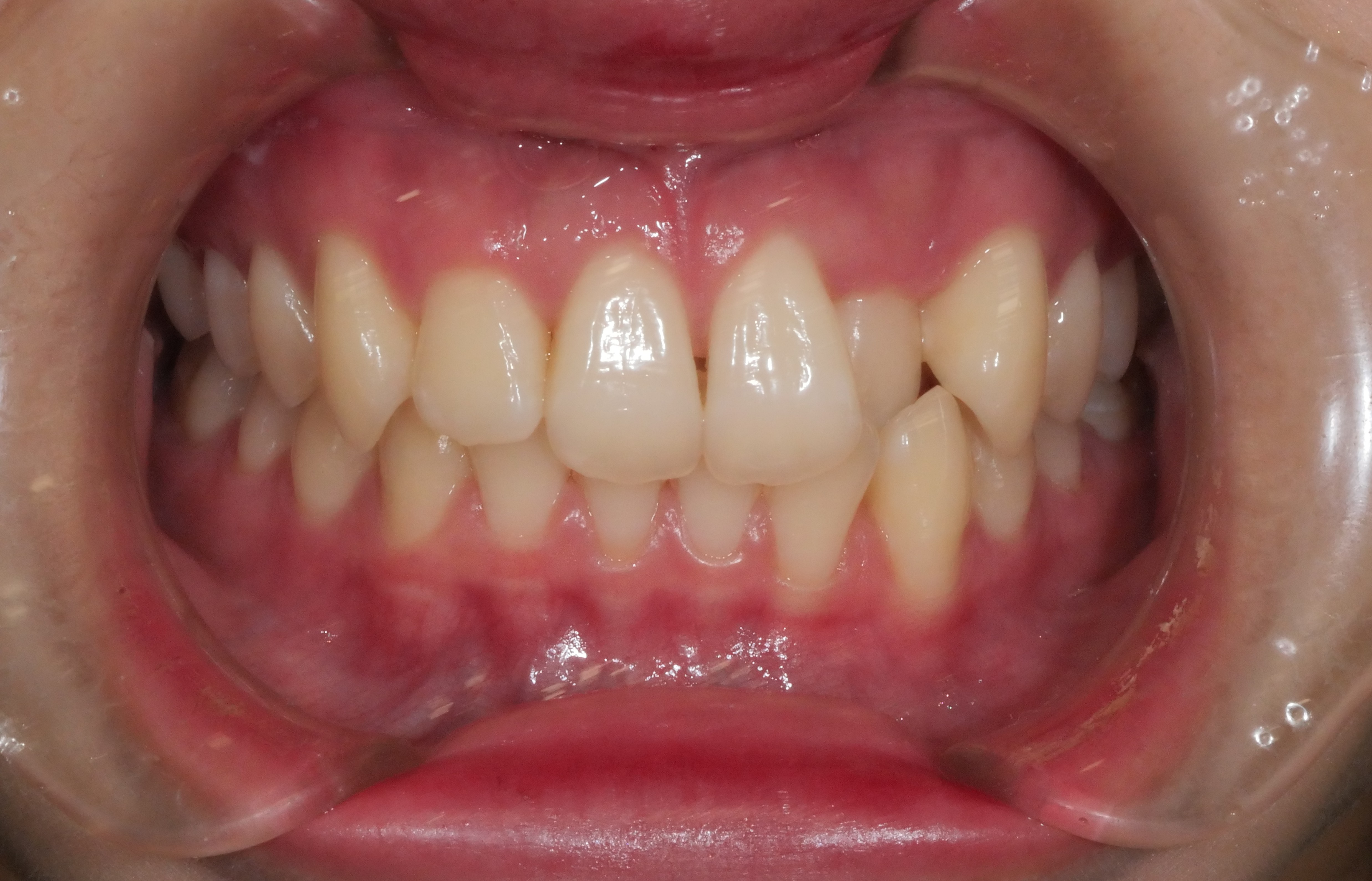
結婚式までに短期間で改善したい!叢生・出っ歯

症例

Before

症例

After

年齢層 20代
性別 女性
主訴 【主訴】凸凹を治したい・上の歯が出ている 【診断・症状】叢生・過蓋咬合・骨格性下顎劣成長・骨格性2級咬合
治療費用 ¥1,375,000
治療期間 約2年6か月(30回)
抜歯 抜歯:有(上4,4)
矯正の装置 裏側矯正(舌側矯正)
副作用、リスク 歯肉退縮・歯根吸収・疼痛・咬合の違和感・装置の違和感
詳しく見る

前歯を下げたい・歯列が狭い

症例 出っ歯

Before

症例 出っ歯

After

年齢層 20代
性別 女性
主訴 【主訴】出っ歯を治したい 【診断・症状】交叉咬合
治療費用 ¥1,375,000
治療期間 約1年11か月(23回)
抜歯 有(上下4,4)
矯正の装置 裏側矯正(舌側矯正)
副作用、リスク 歯肉退縮・歯根吸収・疼痛・咬合の違和感・装置の違和感
詳しく見る

出っ歯と過蓋咬合を治したい

過蓋咬合・上顎前突

Before

after

After

年齢層 20代
性別 女性
主訴 【主訴】凸凹を治したい・上の歯が出ている・かみ合わせが深い 【診断・症状】叢生・過蓋咬合・骨格性下顎劣成長・上顎前突・鋏状咬合
治療費用 ¥132,0000
治療期間 約2年10か月(34回)
抜歯 抜歯:有(上4,4)
矯正の装置 裏側矯正(舌側矯正)
副作用、リスク 歯肉退縮・歯根吸収・疼痛・咬合の違和感・装置の違和感・正中のズレ
詳しく見る

歯並びの凸凹・前歯の後ろに歯があるのを改善したい

症例

Before

症例

After

年齢層 20代
性別 女性
主訴 【主訴】凸凹を治したい・上の歯が出ている 【診断・症状】叢生
治療費用 検査・診断:38,500-/裏側矯正治療:1,320,000-(※全て税込)
治療期間 約2年3か月(26回)
抜歯 有(上4,4・左下1)
矯正の装置 裏側矯正(舌側矯正)
副作用、リスク 歯肉退縮・歯根吸収・疼痛・咬合の違和感・装置の違和感
詳しく見る

出っ歯を治したい

症例 出っ歯

Before

症例 出っ歯

After

年齢層 30代
性別 男性
主訴 【主訴】出っ歯を治したい 【診断・症状】上下凸凹、口元が出てる
治療費用 ¥1,375,000
治療期間 約1年4か月 16回 ※2025/3/18時点
抜歯 抜歯:有(上4,4)
矯正の装置 裏側矯正(舌側矯正)
副作用、リスク 歯肉退縮・歯根吸収・疼痛・咬合の違和感・装置の違和感
詳しく見る

すきっ歯を治したい

case25-すきっ歯を治したい-before

Before

case25-すきっ歯を治したい-after

After

年齢層 30代
性別 男性
主訴 【主訴】すきっ歯を治したい【診断・症状】過蓋咬合、正中離開
治療費用 検査・診断:38,500-/裏側矯正治療費:1,298,000-(※すべて税込)
治療期間 約1年9か月(18回)
抜歯 無(非抜歯)
矯正の装置 裏側矯正(舌側矯正)
副作用、リスク 歯肉退縮・歯根吸収・疼痛・咬合の違和感・装置の違和感
詳しく見る

非対称を治したい(外科症例)

case24_非対称_外科_before

Before

case24_非対称_外科_after

After

年齢層 20代
性別 女性
主訴 【主訴】歯の非対称を治したい 【診断・症状】右下2番先天欠損、上下凸凹、顎が曲がっている
治療費用 検査・診断:税込55,000円/サージェリーファースト(裏側矯正):税込2,090,000円(+外科費用 約200万)(※外科代につきましては別途かかります)
治療期間 約2年半(33回)
抜歯 無(非抜歯)
矯正の装置 裏側矯正(舌側矯正)
副作用、リスク 歯肉退縮,歯根吸収,疼痛,咬合の違和感,装置の違和感,虫歯,歯肉炎
詳しく見る

歯の凸凹を治したい

case23_歯の凹凸_before

Before

247M_A230_case23_歯の凹凸_after

After

年齢層 30代
性別 男性
主訴 【主訴】歯の凸凹を治したい 【診断・症状】上下凸凹
治療費用 検査・診断:38,500-/裏側矯正治療:1,397,000-(※全て税込)
治療期間 約3年半(45回)
抜歯 有(上4,4、左下4)
矯正の装置 裏側矯正(舌側矯正)
副作用、リスク 歯肉退縮,歯根吸収,疼痛,咬合の違和感,装置の違和感,虫歯,歯肉炎
詳しく見る

かみ合わせが深いと受け口の症例

case22_かみ合わせが深い_受け口_before

Before

case22_かみ合わせが深い_受け口_after

After

年齢層 30代
性別 男性
主訴 【主訴】かみ合わせが深い、受け口 【診断・症状】受け口、過蓋咬合、上下凸凹
治療費用 検査・診断:38,500-/裏側矯正治療:1,397,000-/難症例加算:220,000-(※全て税込)
治療期間 約3年半(45回)
抜歯 無(非抜歯)
矯正の装置 裏側矯正(舌側矯正)
副作用、リスク 歯肉退縮,歯根吸収,疼痛,咬合の違和感,装置の違和感,虫歯,歯肉炎
詳しく見る

出っ歯を治したい

case21_出っ歯_before

Before

case21_出っ歯_after

After

年齢層 30代
性別 女性
主訴 【主訴】出っ歯を治したい 【診断・症状】上下凸凹、口元が出てる
治療費用 検査・診断:38,500-/裏側矯正治療:1,397,000-(※全て税込)
治療期間 約2年9か月(36回)
抜歯 抜歯:有(上4,4)
矯正の装置 裏側矯正(舌側矯正)
副作用、リスク 歯肉退縮,歯根吸収,疼痛,咬合の違和感,装置の違和感,虫歯,歯肉炎
詳しく見る

出っ歯を治したい

case20_出っ歯_before

Before

case20_出っ歯_after

After

年齢層 30代
性別 女性
主訴 【主訴】出っ歯を治したい 【診断・症状】上下凸凹、出っ歯(上顎前突)
治療費用 検査・診断:38,500-/裏側矯正治療:1,397,000-(※全て税込)
治療期間 約2年半(33回)
抜歯 有(上4,4、下5,5)
矯正の装置 裏側矯正(舌側矯正)
副作用、リスク 歯肉退縮,歯根吸収,疼痛,咬合の違和感,装置の違和感,虫歯,歯肉炎
詳しく見る

受け口(非外科)の症例

case19_受け口_非外科_before

Before

case19_受け口_非外科_after

After

年齢層 20代
性別 女性
主訴 【主訴】受け口を治したい 【診断・症状】反対咬合、上下凸凹
治療費用 検査・診断:38,500-/裏側矯正治療:1,397,000-(※全て税込)
治療期間 約1年半(約20回)
抜歯 有(下4,4)
矯正の装置 裏側矯正(舌側矯正)
副作用、リスク 歯肉退縮,歯根吸収,疼痛,咬合の違和感,装置の違和感,虫歯,歯肉炎
詳しく見る

受け口の外科症例

case18_受け口外科_before

Before

case18_受け口外科_after

After

年齢層 30代
性別 女性
主訴 【主訴】受け口を治したい 【診断・症状】上下凸凹、受け口
治療費用 検査・診断:税込55,000円/サージェリーファースト(裏側矯正):税込2,090,000円(+外科費用 約200万)(※外科代につきましては別途かかります)
治療期間 約2年(約26回)
抜歯 無(非抜歯)
矯正の装置 裏側矯正(舌側矯正)
副作用、リスク 歯肉退縮,歯根吸収,疼痛,咬合の違和感,装置の違和感,虫歯,歯肉炎
詳しく見る

受け口を治したい

case17_受け口_before

Before

case17_受け口_after

After

年齢層 20代
性別 女性
主訴 【主訴】受け口を治したい 【診断・症状】反対咬合、上下凸凹
治療費用 検査・診断:38,500-/ハーフリンガル矯正治療:1,287,000-(※全て税込)
治療期間 約1年半(20回)
抜歯 無(非抜歯)
矯正の装置 ハーフリンガル矯正
副作用、リスク 歯肉退縮,歯根吸収,疼痛,咬合の違和感,装置の違和感,虫歯,歯肉炎
詳しく見る

軽度の受け口の症例(インプラント併用の症例)

case16_インプラント併用_before

Before

case16_インプラント併用_after

After

年齢層 30代
性別 女性
主訴 【主訴】軽度の受け口を治したい 【診断・症状】軽度の反対咬合、左上6番重度の虫歯
治療費用 検査・診断:38,500-/裏側矯正治療:1,397,000-(※全て税込)
治療期間 約3年(39回)
抜歯 有(左上6番のみ)
矯正の装置 裏側矯正(舌側矯正)
副作用、リスク 歯肉退縮,歯根吸収,疼痛,咬合の違和感,装置の違和感,虫歯,歯肉炎
詳しく見る

出っ歯を治したい

case15_出っ歯_before

Before

case15_出っ歯_after

After

年齢層 20代
性別 男性
主訴 【主訴】出っ歯を治したい 【診断・症状】上下凸凹、出っ歯(上顎前突)
治療費用 検査・診断:38,500-/裏側矯正治療:1,397,000-(※全て税込)
治療期間 約1年半(20回)
抜歯 有(上4,4のみ)
矯正の装置 裏側矯正(舌側矯正)
副作用、リスク 歯肉退縮,歯根吸収,疼痛,咬合の違和感,装置の違和感,虫歯,歯肉炎
詳しく見る

出っ歯を治したい

case14_出っ歯_before

Before

case14_出っ歯_after

After

年齢層 20代
性別 女性
主訴 【主訴】出っ歯を治したい 【診断・症状】上下凸凹、開咬、口元が出てる
治療費用 検査・診断:38,500-/裏側矯正治療:1,397,000-(※全て税込)
治療期間 約2年(26回)
抜歯 有(上4,4)
矯正の装置 裏側矯正(舌側矯正)
副作用、リスク 歯肉退縮,歯根吸収,疼痛,咬合の違和感,装置の違和感,虫歯,歯肉炎
詳しく見る