menu
close

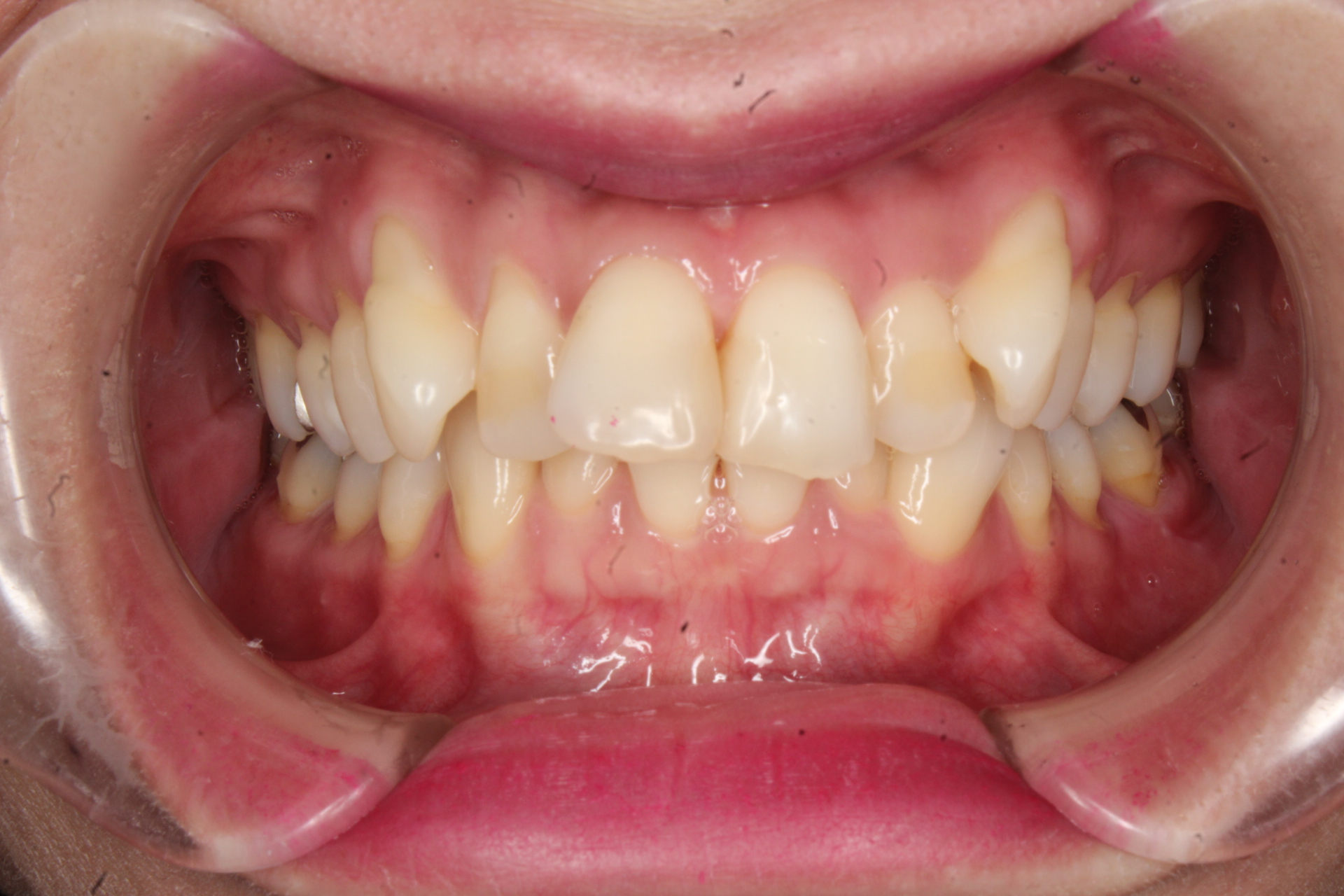
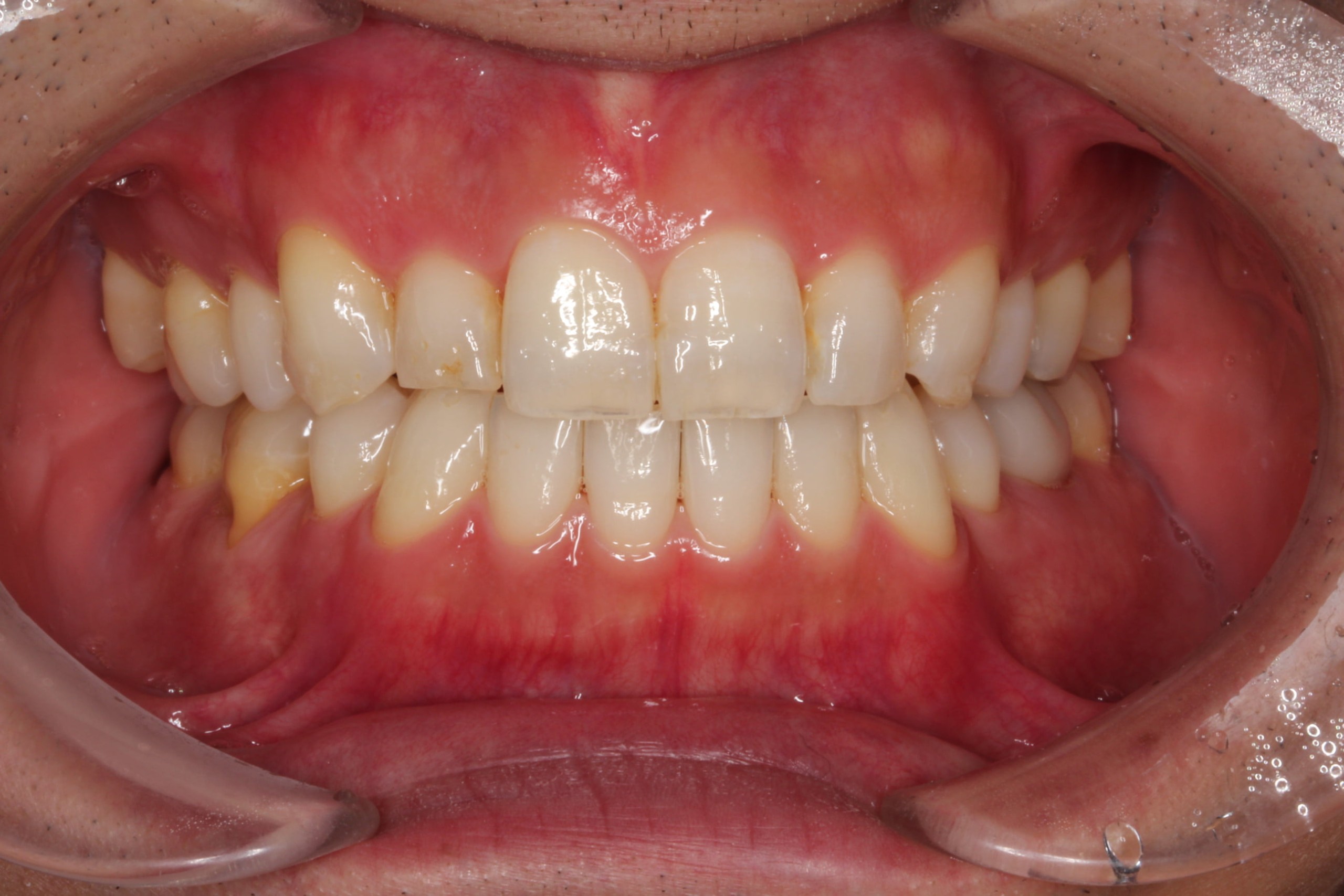
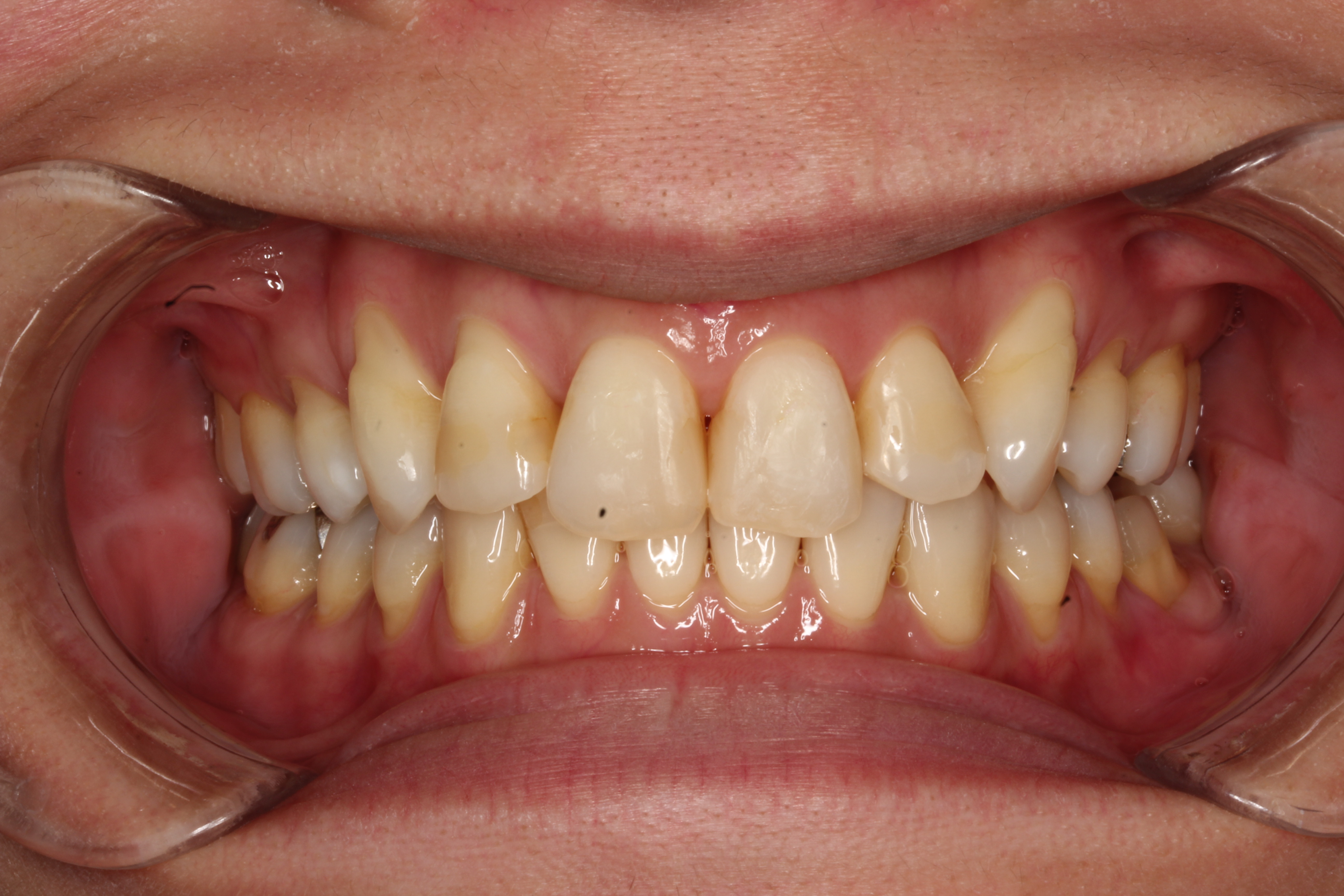
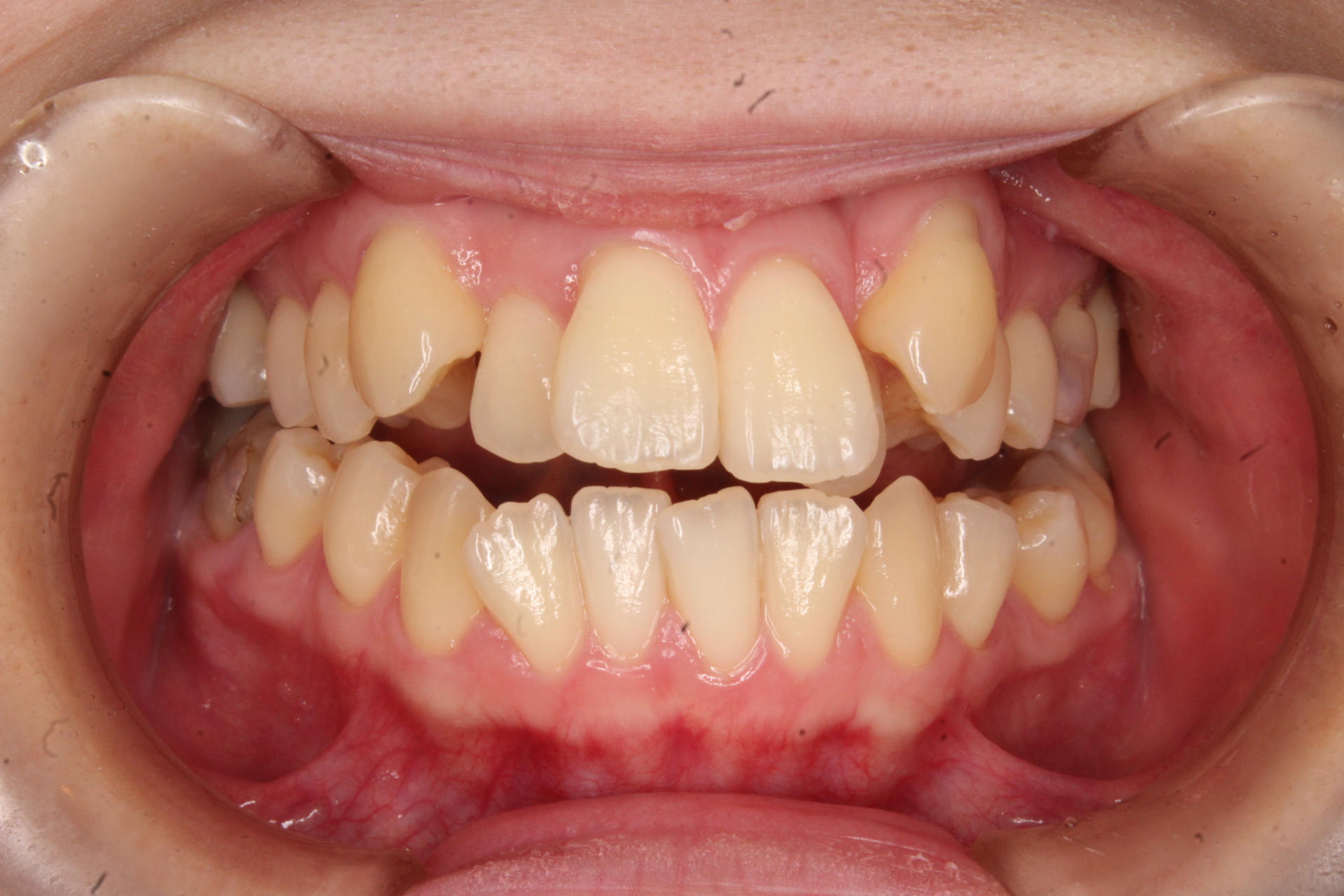
八重歯(ガチャ歯)を治したい

歯列が狭い・かみ合わせと凸凹

年齢層 20代(初診時)
性別 女性
主訴 【主訴】凸凹を治したい・上の歯が出ている 【診断・症状】叢生・交叉咬合
治療費用 検査・診断:38,500-/裏側矯正治療:1,375,000-(※全て税込)
治療期間 約2年3(24回)
抜歯 抜歯:有(上4,4)
矯正の装置 裏側矯正(舌側矯正)+QH
副作用、リスク 歯肉退縮・歯根吸収・疼痛・咬合の違和感・装置の違和感
before

Before

after

After

詳しく見る

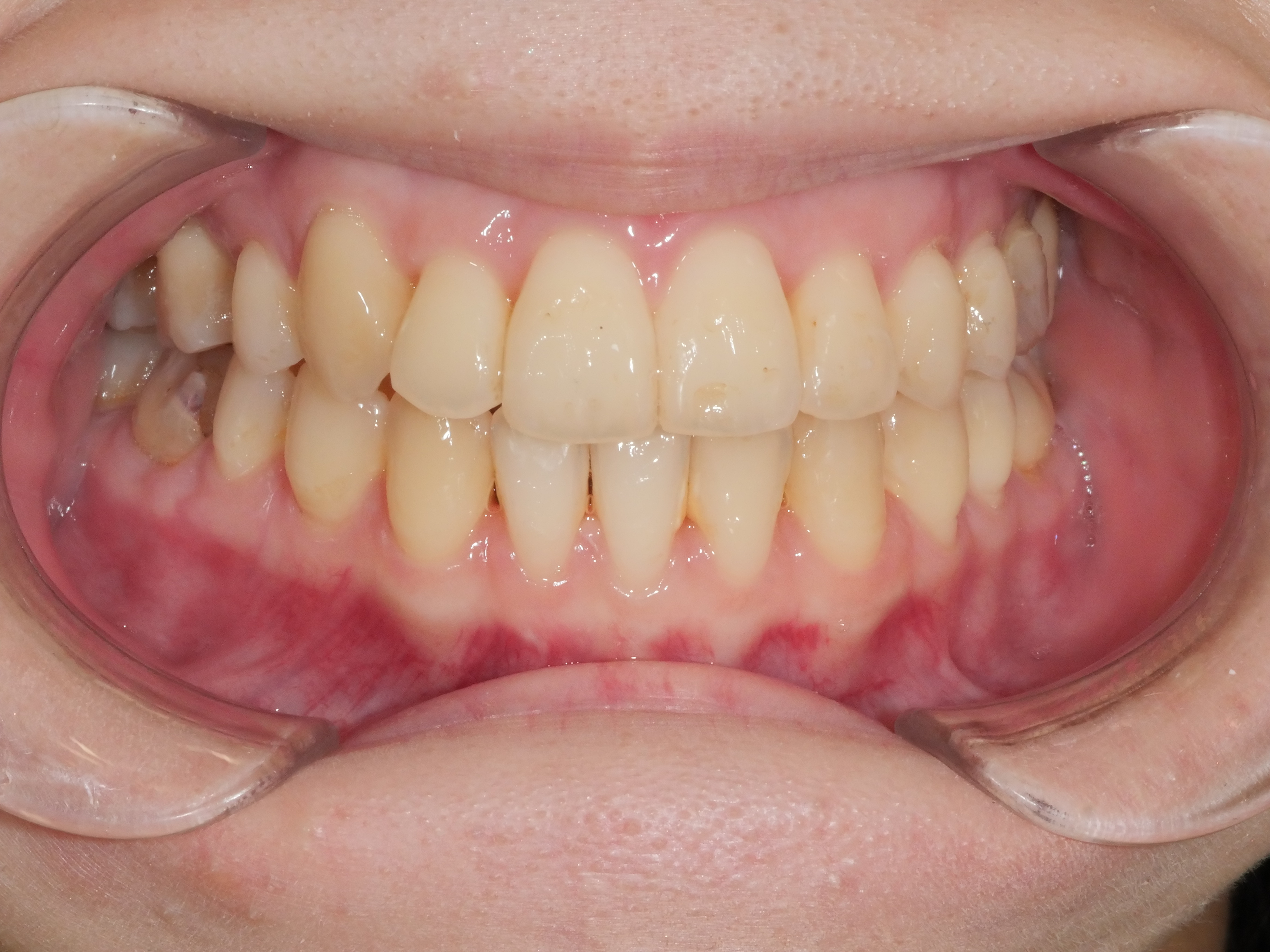
八重歯を改善したい

年齢層 20代
性別 女性
主訴 【主訴】凸凹を治したい 【診断・症状】叢生・上下顎劣成長・交叉咬合・下顎右方偏位
治療費用 検査・診断:38,500-/表側矯正治療:1,155,000-(※全て税込)
治療期間 約2年10か月(34回)
抜歯 抜歯:有(上4,4・下5,5)
矯正の装置 表側矯正
副作用、リスク 歯肉退縮・歯根吸収・疼痛・咬合の違和感・装置の違和感・正中のズレ
初診

Before

終了時

After

詳しく見る

叢生・八重歯を治したい!

年齢層 20代(初診時)
性別 女性
主訴 【主訴】前歯部の叢生を改善したい 【診断・症状】過蓋咬合・叢生・歯肉退縮
治療費用 検査・診断:38,500-/裏側矯正治療:1,320,000-(※全て税込)
治療期間 約1年9か月(21回)
抜歯 有(上4,4)
矯正の装置 裏側矯正(舌側矯正)
副作用、リスク 歯肉退縮・歯根吸収・疼痛・咬合の違和感・装置の違和感・正中のズレ
矯正 初診

Before

矯正 終了時

After

詳しく見る

叢生と開咬を治したい

年齢層 20代
性別 女性
主訴 【主訴】凸凹を治したい・かみ合わせが悪い 【診断・症状】叢生・開咬・下顎劣成長・歯肉退縮あり
治療費用 検査・診断:38,500-/表側矯正治療:1,155,000-(※全て税込)
治療期間 約2年1か月(25回)
抜歯 抜歯:有(上4,3・右下2)
矯正の装置 表側矯正
副作用、リスク 歯肉退縮・歯根吸収・疼痛・咬合の違和感・装置の違和感・正中のズレ
症例 矯正

Before

症例 矯正

After

詳しく見る

交叉咬合・前歯の凸凹を治したい

年齢層 20代
性別 女性
主訴 【主訴】凸凹を治したい 【診断・症状】叢生・上顎右側5番7番、下顎左右2番欠損
治療費用 検査・診断:38,500-/表側矯正治療:1,155,000-(※全て税込)
治療期間 約1年7か月 19回
抜歯 抜歯:有(左上7)
矯正の装置 表側矯正
副作用、リスク 歯肉退縮・歯根吸収・疼痛・咬合の違和感・装置の違和感
症例

Before

症例

After

詳しく見る

1本だけ歯が隠れているのを改善したい

年齢層 20代
性別 女性
主訴 【主訴】凸凹を治したい 【診断・症状】叢生・交叉咬合
治療費用 検査・診断:38,500-/裏側矯正治療:1,265,000-(※全て税込)
治療期間 約8ヵ月
抜歯 無(非抜歯)
矯正の装置 ハーフリンガル矯正
副作用、リスク 歯肉退縮・歯根吸収・疼痛・咬合の違和感・装置の違和感・正中のズレ
初診時

Before

終了時

After

詳しく見る

歯並びの凸凹を治したい

年齢層 10代(初診時)
性別 女性
主訴 【主訴】凸凹を治したい【診断・症状】叢生
治療費用 ¥132,0000
治療期間 約2年1か月(25回)
抜歯 有(上下4,4)
矯正の装置 裏側矯正(舌側矯正)
副作用、リスク 歯肉退縮・歯根吸収・疼痛・咬合の違和感・装置の違和感・正中のズレ
症例 before

Before

症例 After

After

詳しく見る

歯並びの凸凹・前歯の後ろに歯があるのを改善したい

年齢層 20代
性別 女性
主訴 【主訴】凸凹を治したい・上の歯が出ている 【診断・症状】叢生
治療費用 検査・診断:38,500-/裏側矯正治療:1,320,000-(※全て税込)
治療期間 約2年3か月(26回)
抜歯 有(上4,4・左下1)
矯正の装置 裏側矯正(舌側矯正)
副作用、リスク 歯肉退縮・歯根吸収・疼痛・咬合の違和感・装置の違和感
症例

Before

症例

After

詳しく見る

歯の凸凹を治したい

年齢層 30代
性別 男性
主訴 【主訴】歯の凸凹を治したい 【診断・症状】上下凸凹
治療費用 検査・診断:38,500-/裏側矯正治療:1,397,000-(※全て税込)
治療期間 約3年半(45回)
抜歯 有(上4,4、左下4)
矯正の装置 裏側矯正(舌側矯正)
副作用、リスク 歯肉退縮,歯根吸収,疼痛,咬合の違和感,装置の違和感,虫歯,歯肉炎
case23_歯の凹凸_before

Before

247M_A230_case23_歯の凹凸_after

After

詳しく見る

開咬を治したい

年齢層 30代
性別 女性
主訴 【主訴】開咬を治したい 【診断・症状】上下凸凹、開咬(オープンバイト)
治療費用 検査・診断:38,500-/裏側矯正治療:1,397,000-(※全て税込)
治療期間 約3年(39回)
抜歯 有(左上4,右上5、下5,5)
矯正の装置 裏側矯正(舌側矯正)
副作用、リスク 歯肉退縮,歯根吸収,疼痛,咬合の違和感,装置の違和感,虫歯,歯肉炎
case11_開咬_before

Before

case11_開咬_after

After

詳しく見る

歯のデコボコを非抜歯で治したい

年齢層 20代
性別 女性
主訴 【主訴】歯のデコボコを非抜歯で治したい 【診断・症状】上下凸凹
治療費用 検査・診断:38,500-/裏側矯正治療:1,397,000-(※全て税込)
治療期間 約1年半(20回)
抜歯 無(非抜歯)
矯正の装置 裏側矯正(舌側矯正)
副作用、リスク 歯肉退縮,歯根吸収,疼痛,咬合の違和感,装置の違和感,虫歯,歯肉炎
M305_case9_デコボコ非抜歯_before

Before

case9_デコボコ非抜歯_after

After

詳しく見る

歯のデコボコを治したい

年齢層 30代
性別 男性
主訴 【主訴】歯のデコボコを治したい 【診断・症状】上下凸凹
治療費用 検査・診断:38,500-/裏側矯正治療:1,397,000-(※全て税込)
治療期間 約2年(26回)
抜歯 有(上4,4、下5,5)
矯正の装置 裏側矯正(舌側矯正)
副作用、リスク 歯肉退縮,歯根吸収,疼痛,咬合の違和感,装置の違和感,虫歯,歯肉炎
case8_デコボコ抜歯_before

Before

case8_デコボコ抜歯_after

After

詳しく見る

歯のデコボコを治したい

年齢層 20代
性別 女性
主訴 【主訴】歯のデコボコを治したい 【診断・症状】上下凸凹
治療費用 検査・診断:38,500-/裏側矯正治療:1,397,000-(※全て税込)
治療期間 約3年半(45回)
抜歯 有(上4,4、下 4,4)
矯正の装置 裏側矯正(舌側矯正)
副作用、リスク 歯肉退縮,歯根吸収,疼痛,咬合の違和感,装置の違和感,虫歯,歯肉炎
case7_デコボコ抜歯_before

Before

case7_デコボコ抜歯_after

After

詳しく見る