menu
close

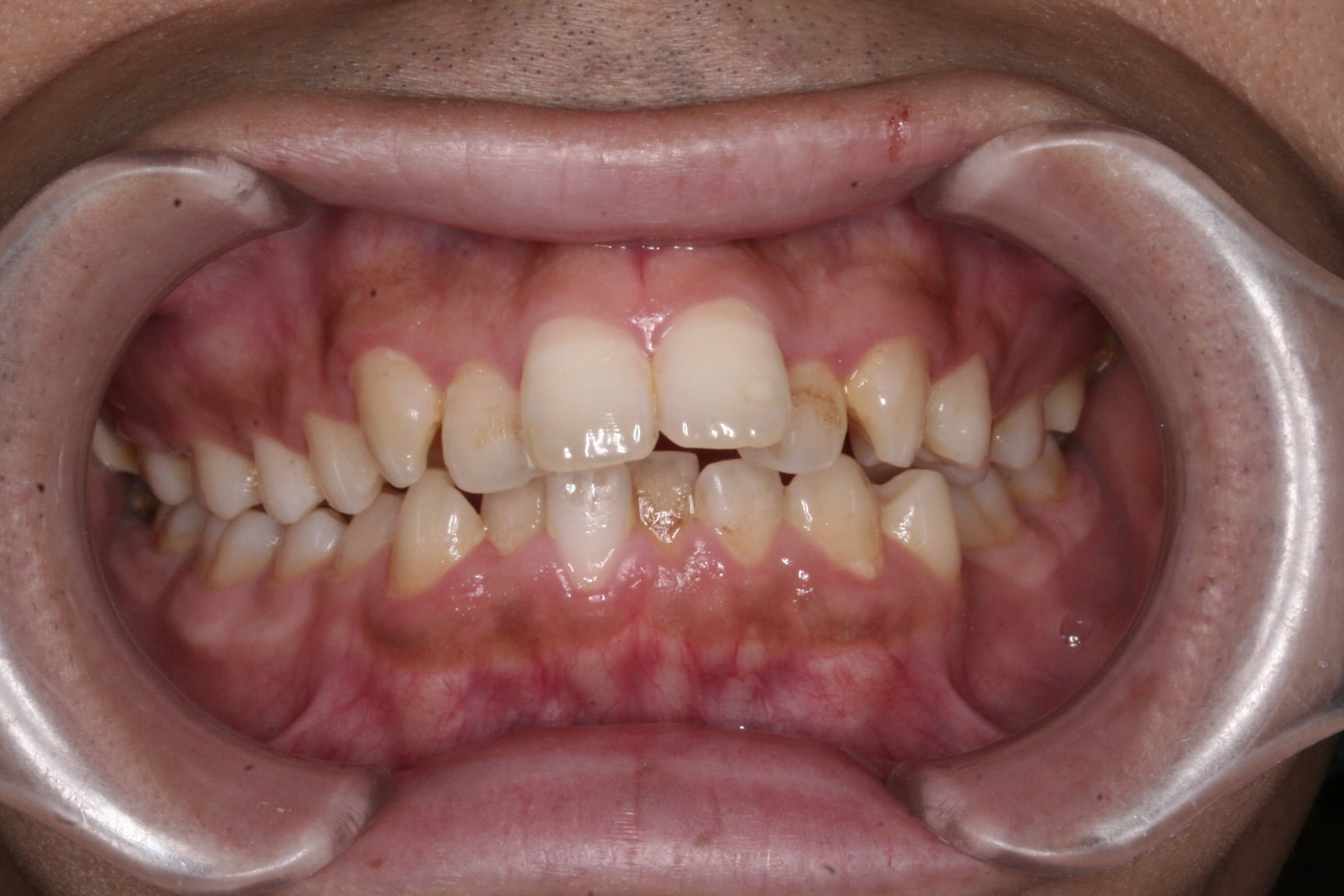
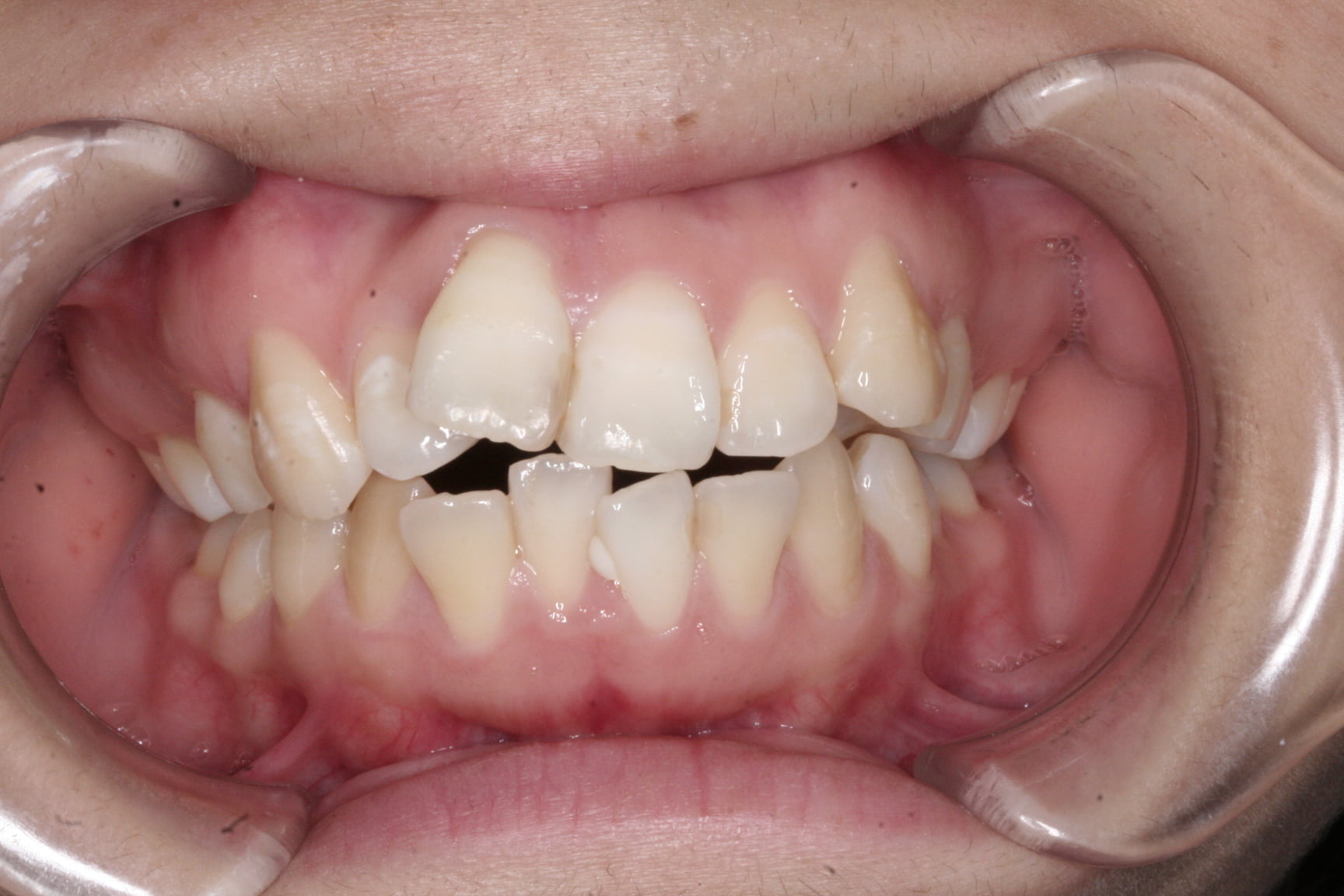
出っ歯を治したい

結婚式までに短期間で改善したい!叢生・出っ歯

年齢層 20代
性別 女性
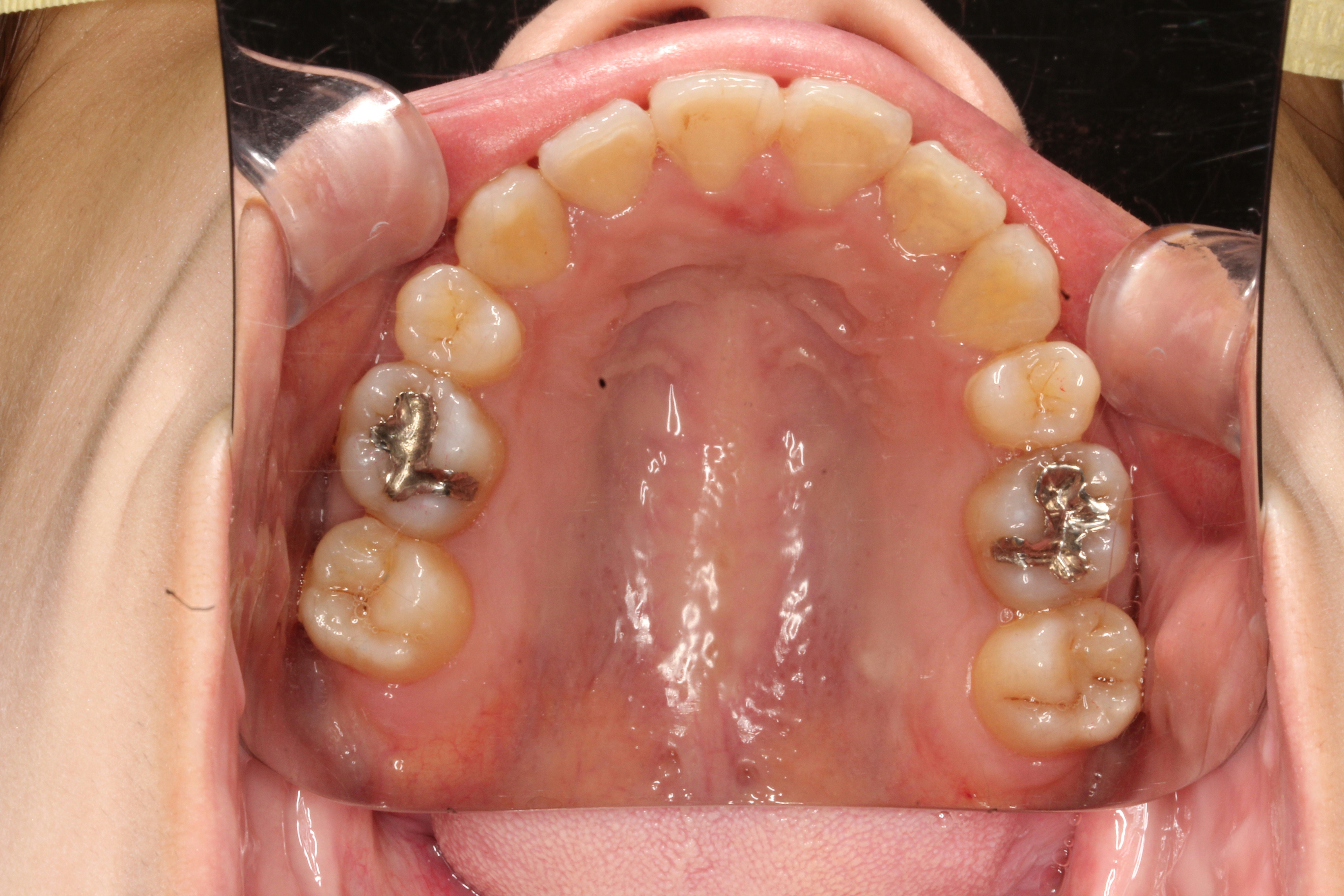
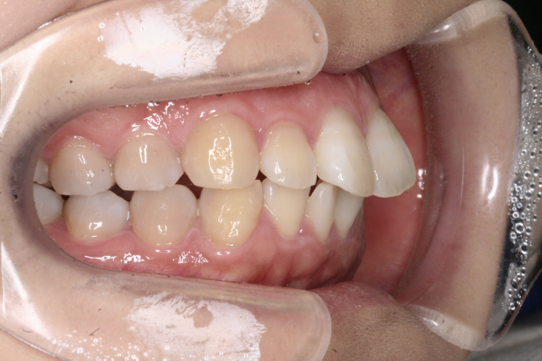
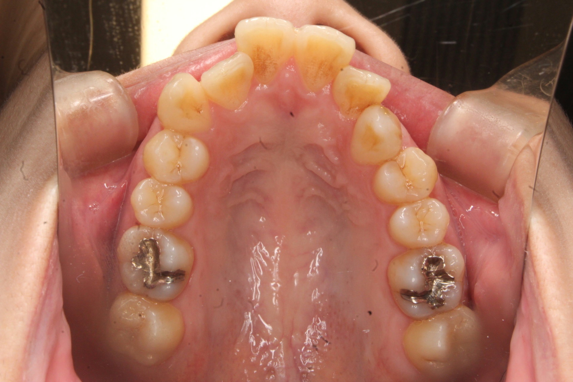
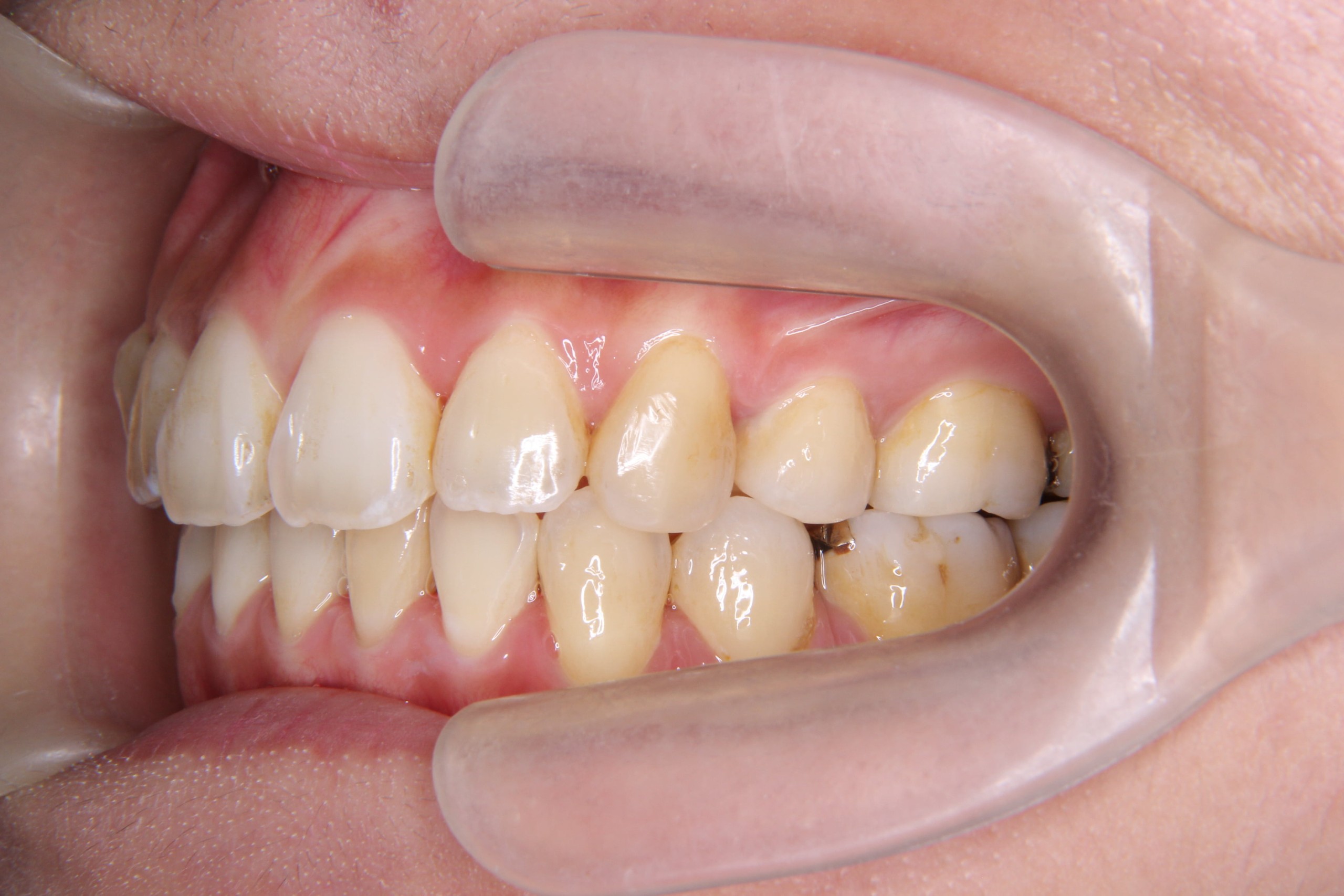
主訴 【主訴】凸凹を治したい・上の歯が出ている 【診断・症状】叢生・過蓋咬合・骨格性下顎劣成長・骨格性2級咬合
治療費用 ¥1,375,000
治療期間 約2年6か月(30回)
抜歯 抜歯:有(上4,4)
矯正の装置 裏側矯正(舌側矯正)
副作用、リスク 歯肉退縮・歯根吸収・疼痛・咬合の違和感・装置の違和感
症例

Before

症例

After

詳しく見る

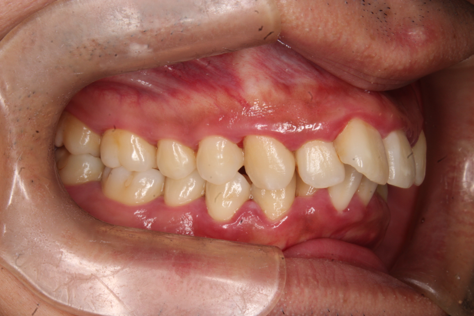
出っ歯と過蓋咬合を治したい

年齢層 20代
性別 女性
主訴 【主訴】凸凹を治したい・上の歯が出ている・かみ合わせが深い 【診断・症状】叢生・過蓋咬合・骨格性下顎劣成長・上顎前突・鋏状咬合
治療費用 ¥132,0000
治療期間 約2年10か月(34回)
抜歯 抜歯:有(上4,4)
矯正の装置 裏側矯正(舌側矯正)
副作用、リスク 歯肉退縮・歯根吸収・疼痛・咬合の違和感・装置の違和感・正中のズレ
過蓋咬合・上顎前突

Before

after

After

詳しく見る

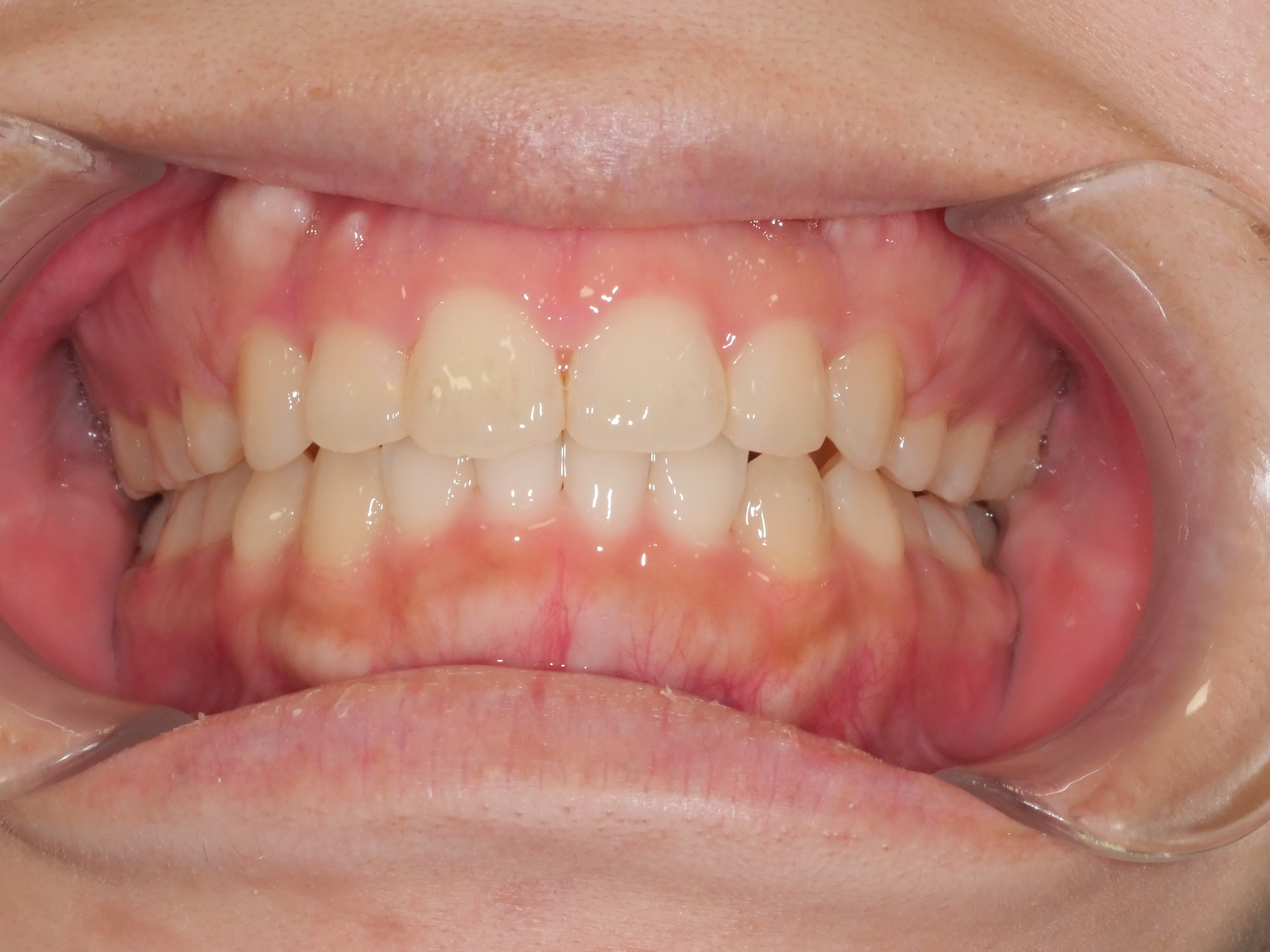
出っ歯を治したい

年齢層 30代
性別 男性
主訴 【主訴】出っ歯を治したい 【診断・症状】上下凸凹、口元が出てる
治療費用 ¥1,375,000
治療期間 約1年4か月 16回 ※2025/3/18時点
抜歯 抜歯:有(上4,4)
矯正の装置 裏側矯正(舌側矯正)
副作用、リスク 歯肉退縮・歯根吸収・疼痛・咬合の違和感・装置の違和感
症例 出っ歯

Before

症例 出っ歯

After

詳しく見る

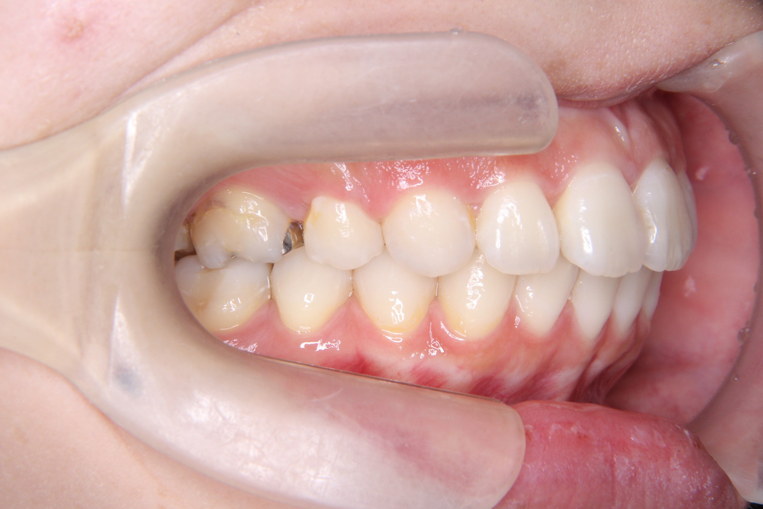
出っ歯を治したい

年齢層 30代
性別 女性
主訴 【主訴】出っ歯を治したい 【診断・症状】上下凸凹、口元が出てる
治療費用 検査・診断:38,500-/裏側矯正治療:1,397,000-(※全て税込)
治療期間 約2年9か月(36回)
抜歯 抜歯:有(上4,4)
矯正の装置 裏側矯正(舌側矯正)
副作用、リスク 歯肉退縮,歯根吸収,疼痛,咬合の違和感,装置の違和感,虫歯,歯肉炎
case21_出っ歯_before

Before

case21_出っ歯_after

After

詳しく見る

出っ歯を治したい

年齢層 30代
性別 女性
主訴 【主訴】出っ歯を治したい 【診断・症状】上下凸凹、出っ歯(上顎前突)
治療費用 検査・診断:38,500-/裏側矯正治療:1,397,000-(※全て税込)
治療期間 約2年半(33回)
抜歯 有(上4,4、下5,5)
矯正の装置 裏側矯正(舌側矯正)
副作用、リスク 歯肉退縮,歯根吸収,疼痛,咬合の違和感,装置の違和感,虫歯,歯肉炎
case20_出っ歯_before

Before

case20_出っ歯_after

After

詳しく見る

出っ歯を治したい

年齢層 20代
性別 男性
主訴 【主訴】出っ歯を治したい 【診断・症状】上下凸凹、出っ歯(上顎前突)
治療費用 検査・診断:38,500-/裏側矯正治療:1,397,000-(※全て税込)
治療期間 約1年半(20回)
抜歯 有(上4,4のみ)
矯正の装置 裏側矯正(舌側矯正)
副作用、リスク 歯肉退縮,歯根吸収,疼痛,咬合の違和感,装置の違和感,虫歯,歯肉炎
case15_出っ歯_before

Before

case15_出っ歯_after

After

詳しく見る

出っ歯を治したい

年齢層 20代
性別 女性
主訴 【主訴】出っ歯を治したい 【診断・症状】上下凸凹、開咬、口元が出てる
治療費用 検査・診断:38,500-/裏側矯正治療:1,397,000-(※全て税込)
治療期間 約2年(26回)
抜歯 有(上4,4)
矯正の装置 裏側矯正(舌側矯正)
副作用、リスク 歯肉退縮,歯根吸収,疼痛,咬合の違和感,装置の違和感,虫歯,歯肉炎
case14_出っ歯_before

Before

case14_出っ歯_after

After

詳しく見る

軽度の出っ歯を治したい

年齢層 20代
性別 女性
主訴 【主訴】出っ歯を治したい 【診断・症状】上下凸凹、出っ歯(上顎前突)
治療費用 検査・診断:38,500-/裏側矯正治療:1,397,000-(※全て税込)
治療期間 約2年半(33回)
抜歯 有(上4,4)
矯正の装置 裏側矯正(舌側矯正)
副作用、リスク 歯肉退縮,歯根吸収,疼痛,咬合の違和感,装置の違和感,虫歯,歯肉炎
case13_軽度の出っ歯_before

Before

case13_軽度の出っ歯_after

After

詳しく見る

ガミースマイルを治したい

年齢層 20代
性別 女性
主訴 【主訴】ガミースマイルを治したい 【診断・症状】上下凸凹、ガミースマイル
治療費用 検査・診断:38,500-/裏側矯正治療:1,397,000-(※全て税込)
治療期間 約3年半(45回)
抜歯 無(非抜歯)
矯正の装置 裏側矯正(舌側矯正)
副作用、リスク 歯肉退縮,歯根吸収,疼痛,咬合の違和感,装置の違和感,虫歯,歯肉炎
case10_ガミー_before

Before

case10_ガミー_after

After

詳しく見る