料金
症例
menu
close
アクセス
当院について
博多矯正歯科KITTE博多院のご案内
院内紹介
院内デジタル矯正設備
スタッフ紹介
グループ内転院制度
治療内容
治療について
治療の流れ
カウンセリング
裏側矯正
ハーフリンガル矯正
表側矯正
部分矯正
マウスピース型矯正
歯科矯正用アンカースクリューを用いた矯正
外科矯正(サージェリーファースト)
結婚式に向けた矯正
ガミースマイルの改善
矯正基礎知識
矯正法・費用・期間・医院選び
一般的なリスクや副作用について
料金表
キャンペーン
料金一覧
お得な定額費用制度
デンタルローン
医療費控除
成人矯正歯科治療保証制度
症例紹介
矯正ガイド
当院の総院長・院長
よくある質問
矯正のご相談・未成年・学生の方
カウンセリングの流れ
instagram
TIKTOK
YouTube
ブログ
矯正コラム
当院の症例
TOP
当院の症例
Eライン(口ゴボ)
Eライン(ロゴボ)
Eライン(口ゴボ)
Before
After
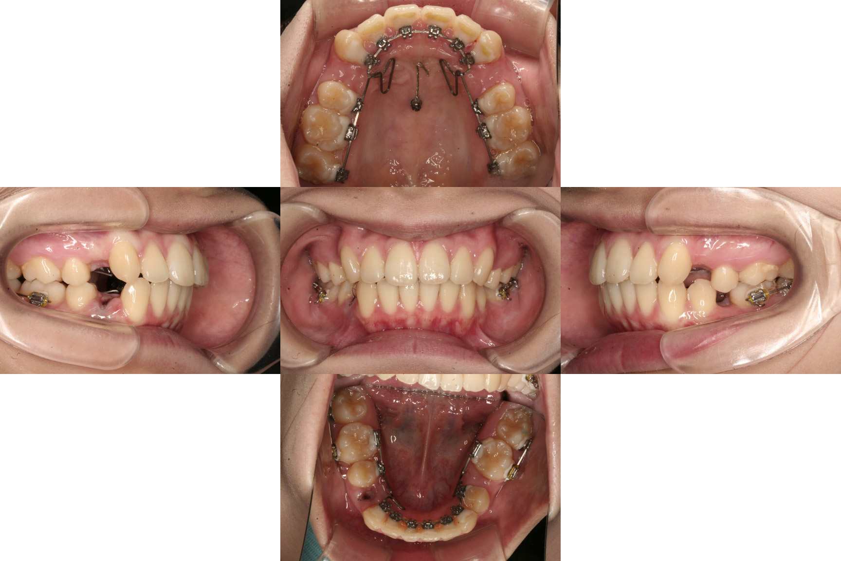
初診
装置装着後
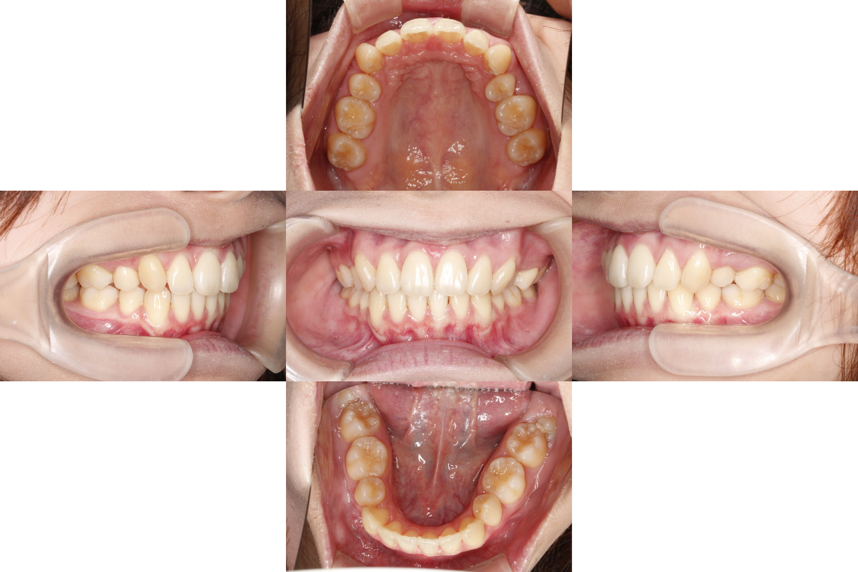
1年経過
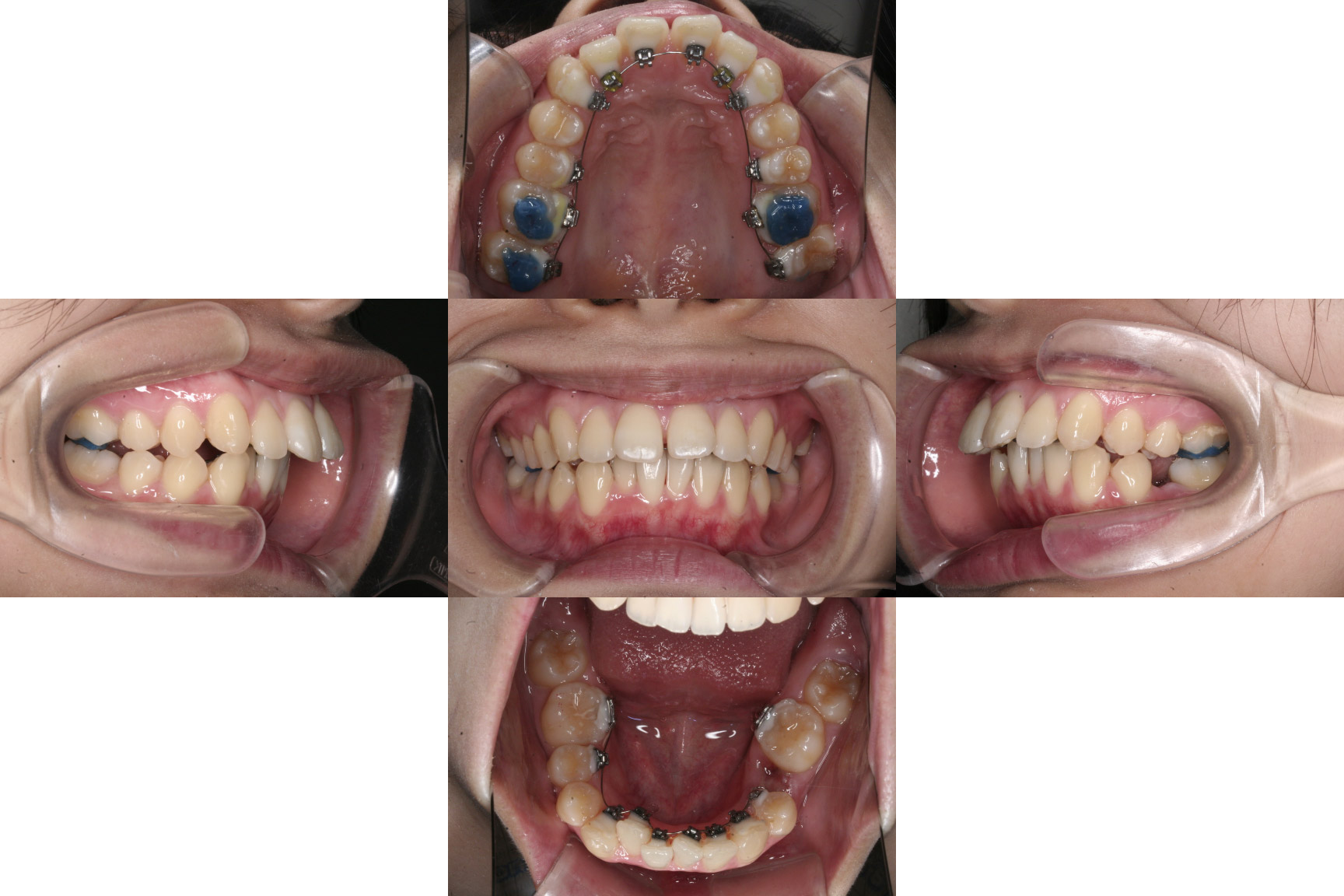
2年8か月経過
年齢層
20代
性別
女性
主訴
【主訴】Eラインを整えたい 【診断・症状】上下顎前突
治療費用
検査・診断:38,500-/裏側矯正治療:1,397,000-(※全て税込)
治療期間
約2年8か月(35回)
抜歯
有(上4,4、下右4,左5)
矯正の装置
裏側矯正(舌側矯正)
副作用、リスク
歯肉退縮,歯根吸収,疼痛,咬合の違和感,装置の違和感,虫歯,歯肉炎
WEB予約
治療ガイド