menu
close

当院の症例

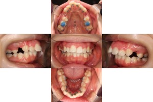
出っ歯と過蓋咬合を治したい

過蓋咬合・上顎前突

Before

after

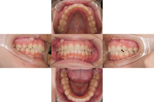
After

初診時

初診時

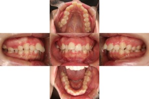
装置装着時

装置装着時

3ヶ月後

3ヶ月後

10か月後

10か月後

治療終了時

治療終了時

年齢層 20代
性別 女性
主訴 【主訴】凸凹を治したい・上の歯が出ている・かみ合わせが深い 【診断・症状】叢生・過蓋咬合・骨格性下顎劣成長・上顎前突・鋏状咬合
治療費用 ¥132,0000
治療期間 約2年10か月(34回)
抜歯 抜歯:有(上4,4)
矯正の装置 裏側矯正(舌側矯正)
副作用、リスク 歯肉退縮・歯根吸収・疼痛・咬合の違和感・装置の違和感・正中のズレ