当院の症例





| 年齢層 | 30代 |
|---|---|
| 性別 | 男性 |
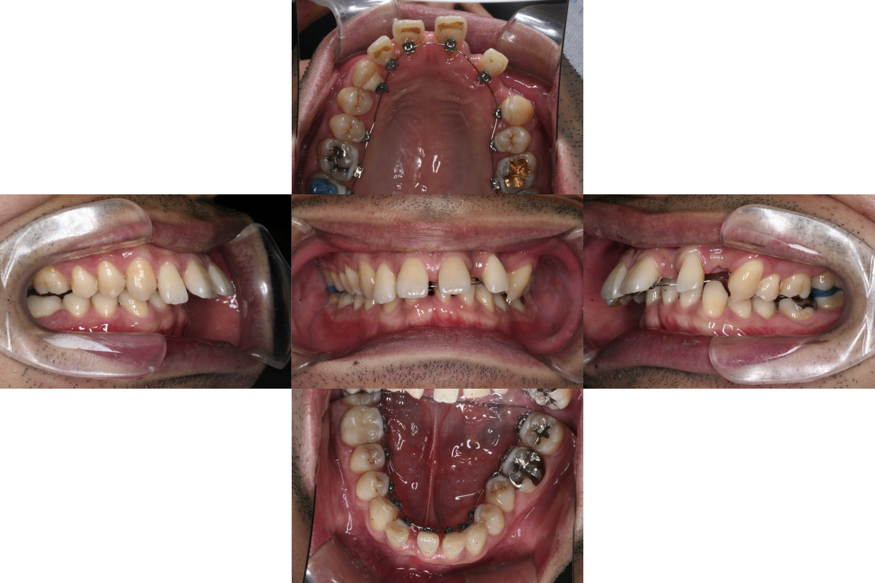
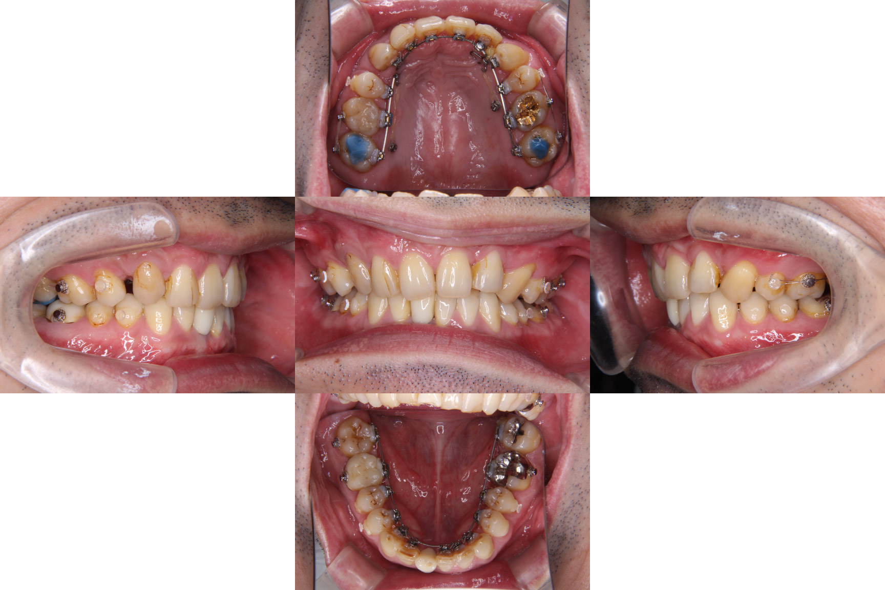
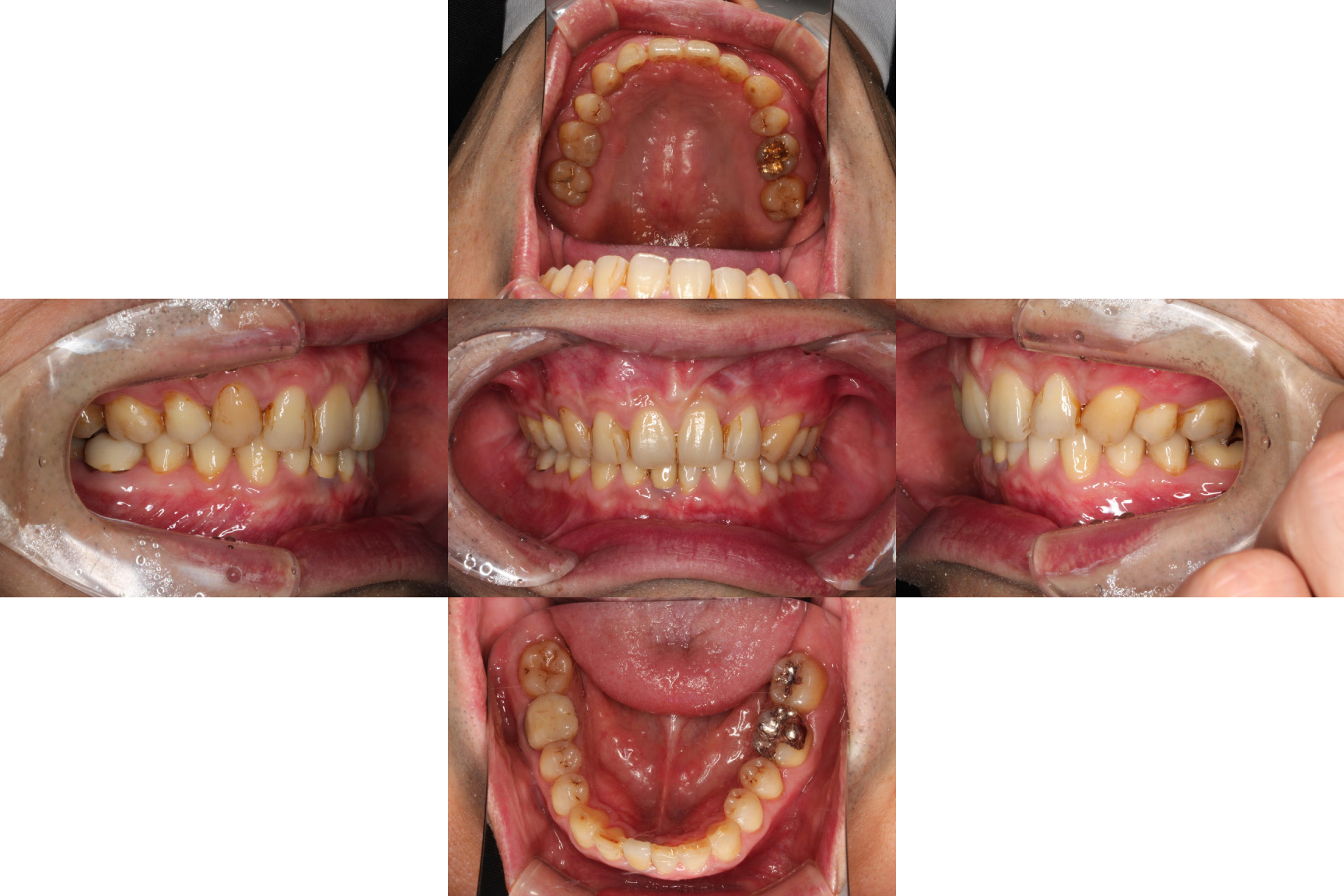
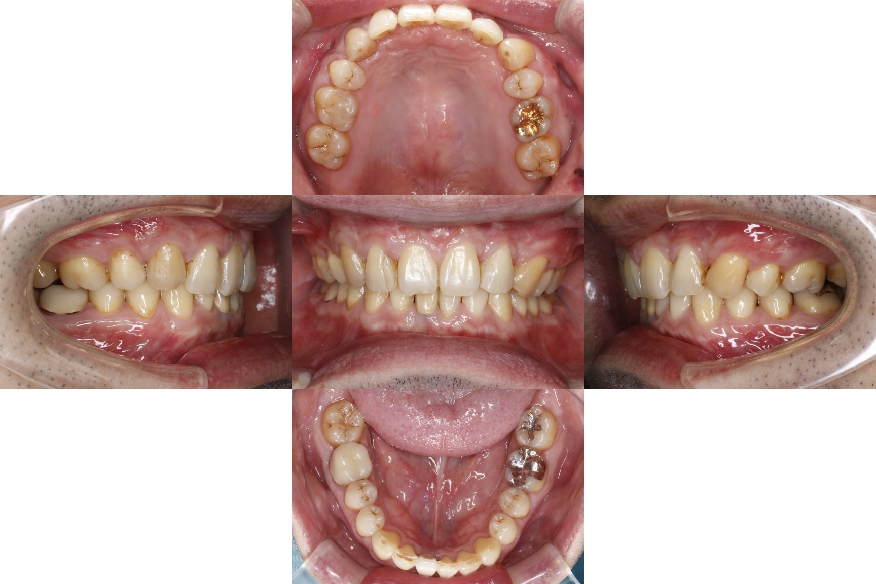
| 主訴 | 【主訴】ディープバイト,すきっ歯 【診断・症状】左上C残存、下顎右下1番欠損、上顎前突、空隙歯列、過蓋咬合 |
| 治療費用 | 検査・診断:38,500-/裏側矯正治療:1,397,000-(※全て税込) |
| 治療期間 | 約3年半(45回) |
| 抜歯 | 有(左上c、上の4,4) |
| 矯正の装置 | 裏側矯正(舌側矯正) |
| 副作用、リスク | 歯肉退縮,歯根吸収,疼痛,咬合の違和感,装置の違和感,虫歯,歯肉炎 |