| 年齢層 | 20代 |
|---|---|
| 性別 | 女性 |
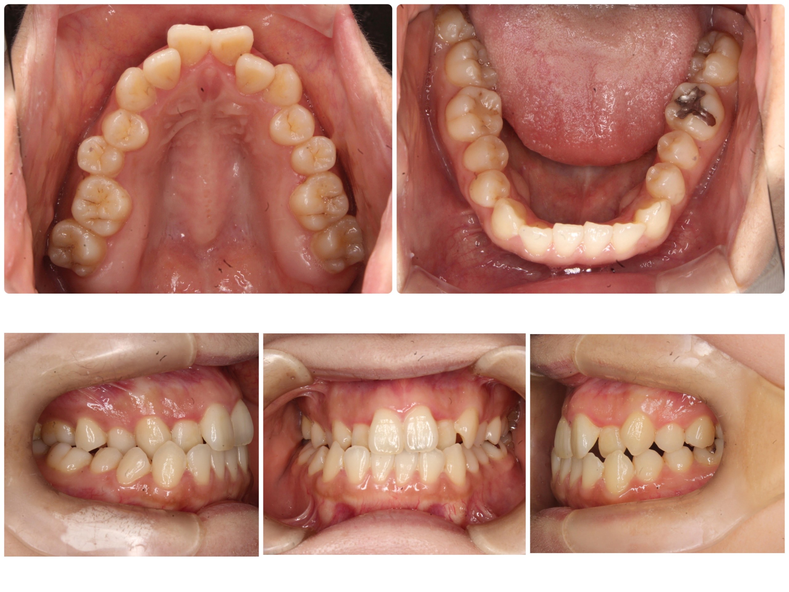
| 主訴 | 【主訴】凸凹を治したい 【診断・症状】叢生・上顎右側5番7番、下顎左右2番欠損 |
| 治療費用 | 検査・診断:38,500-/表側矯正治療:1,155,000-(※全て税込) |
| 治療期間 | 約1年7か月 19回 |
| 抜歯 | 抜歯:有(左上7) |
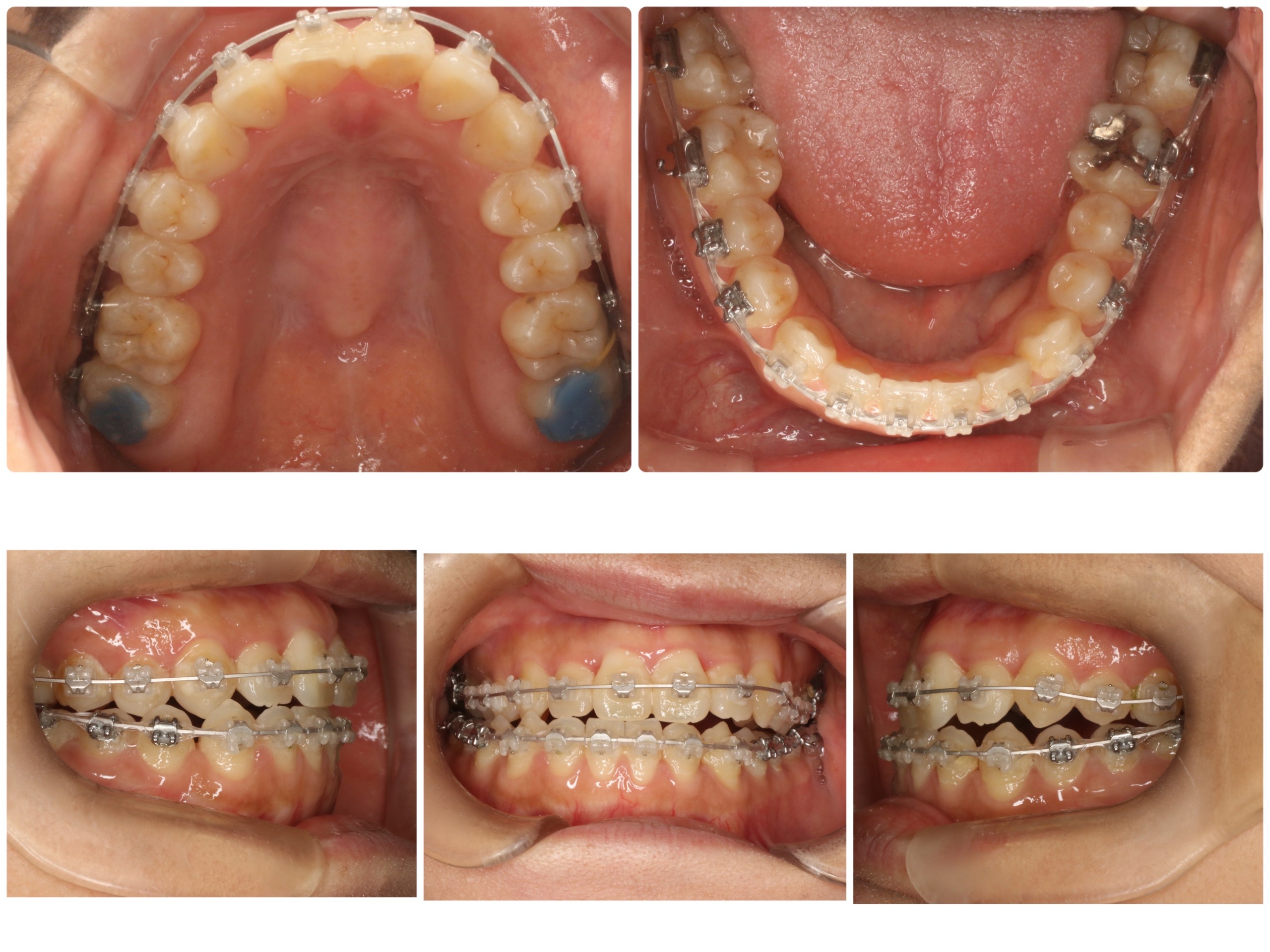
| 矯正の装置 | 表側矯正 |
| 副作用、リスク | 歯肉退縮・歯根吸収・疼痛・咬合の違和感・装置の違和感 |
| 年齢層 | |
|---|---|
| 性別 | |
| 主訴 | 歯並びの凸凹・かんだ時に上の歯と下の歯がかみ合わない |
| 治療費用 | ¥1,155,000 |
| 治療期間 | 約1年6ヶ月 |
| 抜歯 | |
| 矯正の装置 | |
| 副作用、リスク | 歯肉退縮・歯根吸収・疼痛・咬合の違和感・装置の違和感・正中のズレ |