投稿日:2022.1.5
審美治療の流れ
こんにちは!
博多矯正歯科助手の中川です!
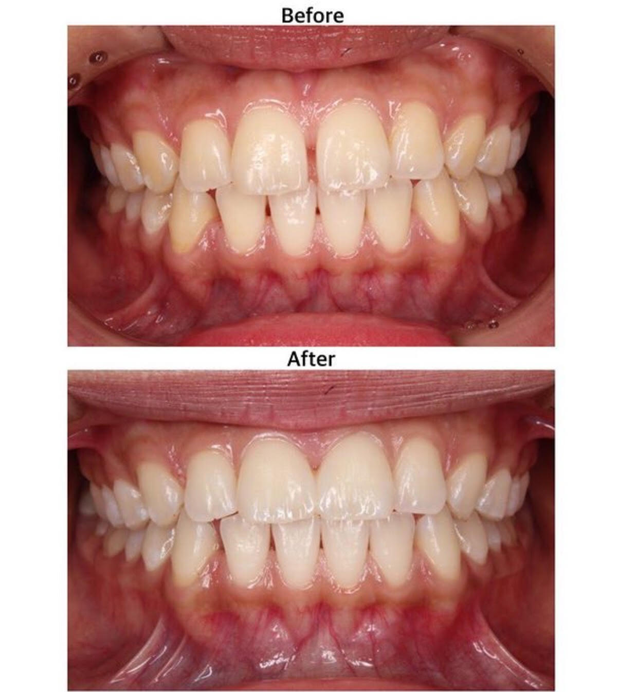
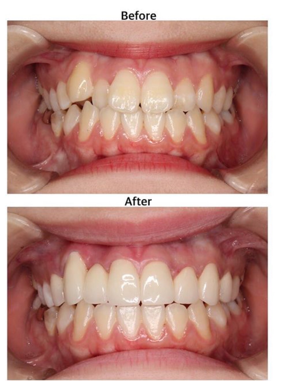
今日はダイレクトボンディングとセラミック矯正などの「審美治療」の治療の流れについてお話します!
実際に治療をする!と決めたけど、治療後の歯がどうなるのか不安ですよね。
博多矯正歯科では、ご契約前に検査・診断のお時間をお取りしており、シミュレーション用の模型をお作りすることができるので治療前に仕上がりを確認していただくことができます!
模型上で仕上がりをみていただくことで、治療終了後のイメージがつきやすくなるので、仕上がりへの不安を減らすことができます。
*検査内容(検査は有料になります)
・お口の型とり
・レントゲン撮影 2種類(パノラマ・デンタル)

模型用の型取りをさせていただき、ダイレクトボンディングやセラミック矯正をすることで治療後どのような仕上がりになるのか、シミュレーションをしていきます。
レントゲンの撮影をし、治療をする歯に虫歯の有無や、歯根や治療部位周辺の骨の状態も診て、治療ができるか診断をしていきます!
*診断

検査のときに型取りした、シミュレーションの模型が1~2週間ほどで出来上がってくるので、確認をしていただきます!
その模型で仕上がりをみていただき、問題がなければ契約に入ります。
(模型の確認をしていただき、実際に治療をするかどうかは一度持ち帰って検討していただいても大丈夫です!ご契約を無理強いすることは絶対にないので安心されてください。)
*ご契約
ご契約当日、治療前に治療費のお支払いを行います。
ダイレクトボンディングの場合、お支払い方法は、現金一括またはカードでのお支払い。
セラミック矯正は、カード・現金一括・デンタルローン(100,000円以上の場合のみ)から
選んでいただけます。
お支払い方法については、カウンセリング時に詳しくご説明いたします。
*治療
・ダイレクトボンディング

①シミュレーションの模型を使って、専用の型を作る
②専用の型を元にお口の中に直接レジンを盛る
③形態修正・咬合調整
④研磨
⑤写真を撮って終了
⑥1週間後に最終チェック
レジンを少しずつ盛り足し、丁寧に形を作っていきます。
仕上がりができるだけ自然になるように丁寧に形態修正や咬合調整を行い、自然なツヤがでるように時間をかけて研磨をしていきます。
治療時間はトータルで90~120分程です。
ダイレクトボンディングをして1週間ほど実際に使っていただき、かみ合わせや形に問題がなければ治療は終了になります。
その後は3ヶ月後のメンテナンスにご来院していただきます!
治療自体は1日で終了するので、何回も通院していただく必要がないのもダイレクトボンディングの大きなメリットです♪
・セラミック矯正

セラミック矯正では、数回にわけて治療を行います。
大きく分けるとこんな感じです!
1回目:仮歯の作成(必要があれば抜髄)
2回目:仮歯の修正
3回目:セラミックの型取り
4回目:セラミックのセット
5回目:最終チェック
1回目で作った仮歯を1~2週間使っていただき、歯の形や長さをもっとこうしたい!などのご要望があればできる範囲で形態修正を行います!
修正後しばらく使っていただき、形や歯の長さなどにご納得いただければセラミックの型取りをしていきます。
この時作った仮歯の形を元にセラミックを作っていくのですが、セラミックを作ってしまうと、形を変えることはできないので、患者様が納得いくまで何度も仮歯の修正をしていきます!
※仮歯の修正回数が増えると治療期間や来院回数がかかります
型取りをして2週間ほどでセラミックができあがるので、お口の中にセットします!
セラミックセットから1週間ほど実際に使っていただき、かみ合わせに問題がなければ治療は終了になります。
その後は3ヶ月後のメンテナンスにご来院していただきます!
セラミック矯正の場合、ダイレクトボンディングよりお時間はかかりますが、とても綺麗なセラミックが入ります!
セラミックが入るまで1~3ヶ月ほどかかりますが、仮歯は1日で出来上がるのでお口の印象はすぐに変わります♪
カウンセリングに来ていただければ、仮歯やシミュレーションの模型等お見せすることが出来るので、興味がある方は一度カウンセリングにお越しください♪





治療ガイド